아하
  • 토픽

  • 스파링

  • 잉크

  • 미션


탈퇴한 사용자

탈퇴한 사용자

X-ray판독부탁드려도될까요?

반려동물 종류

강아지

품종

요크셔

성별

암컷

나이 (개월)

10

몸무게 (kg)

3.5

중성화 수술

1회

안녕하세요 영상적으로는 수의사선생님들의 의견이 조금씩 다를수있단 얘길들어서

X-ray상 문제가 있는부분이 있는지 여러 선생님의 의견듣고싶습니다ㅠㅠ

2개의 답변이 있어요!

  • 박주찬 수의사

    박주찬 수의사

    프리랜서

    안녕하세요. 박주찬 수의사입니다.

    방사선은 굉장히 한계점이 많은 검사방법입니다.

    방사선 또한 보호자꼐서 이야기하는 병력청취와 강아지가 나타나는 증상 등을 참고해서 판독하는 것이 맞습니다.

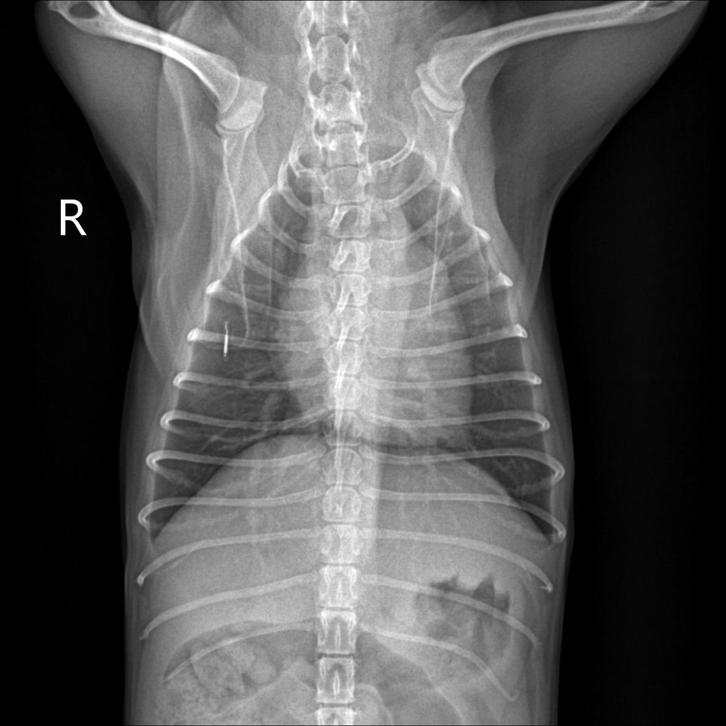
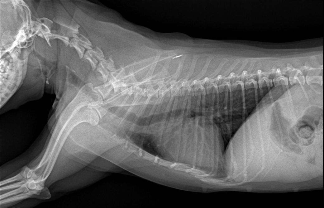
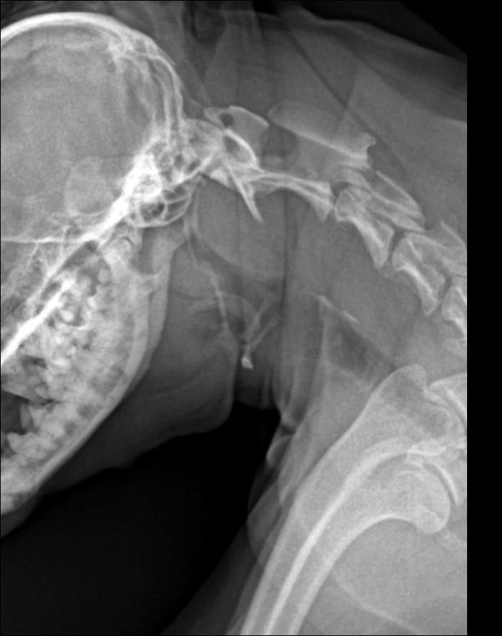
    경추 4-5-6번의 추간판 사이가 좁아보이며 동시에 복부 방사선 촬영 시 결장에 가스가 많이 차 있는 것을 볼 수 있습니다.

    복통이나 설사가 있을 수도 있겠네요

  • 안녕하세요. 이은수 수의사입니다.

    엑스레이 판독은 병력과, 신체검사 및 다른 검사 지표들을 종합적으로 보고 판단하는것이지 사진만 가지고 평가하는게 아닙니다. 사진만 보고 판단하니 수의사들마다 차이가 클 수밖에 없는것이고, 신체검사를 직접 한 주치의의 판단이 가장 정확한것이니 주치의의 의견을 따르시기 바랍니다.