아핫뉴스실시간 인기검색어
아핫뉴스 화산 이미지
화산 아이콘 11
한병도 원내대표 접견
아하

의료상담

신경과·신경외과

궁금합니다!
궁금합니다!

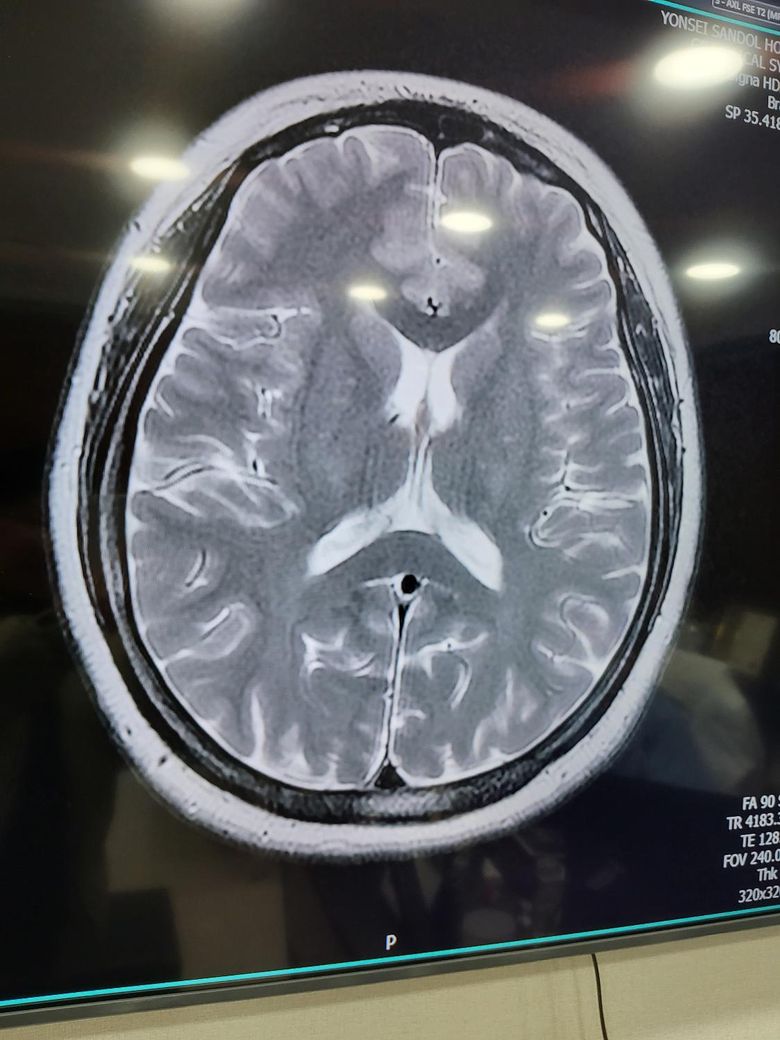
뇌 mri검사 교량 다른사람들보다 좁아 질문

성별
여성
나이대
29
기저질환
지방간,당뇨전단계

두통,어지러움때문에 뇌 mri검사를 받았는데 다른 사람보다 뇌 교량이 좁다고 했는데. 따로 치료 안받아도되나요?? 어렸을때 간질이나 경련 없었으면 그냥 얼굴형이 다른것처럼 다르게 생긴거라고 하는데 어렸을때 그런 증상이 없으면 안심하고 지내도 되나요??아니면 추적검사를해야하나요?? 뇌교량이 두통하고 어지러움 연관이있나요??

  • 1번 째 사진
  • 2번 째 사진
  • 3번 째 사진
1개의 답변이 있어요!
  • 안녕하세요. 김수비 의사입니다.

    뇌 MRI는 이미 검사 결과를 받으셨을거라 사료되고 만일 더 자세하고 정확한 분석을 원하시면 영상의학과 전문의에게 의뢰하셔야 합니다.

    여기선 글로 써주신 질문에만 답변 드릴게요

    뇌 교량의 좁음이 두통과 어지러움과 관련이 있을 수 있지만, 일반적으로 그 자체로 증상을 유발하지 않는 경우가 많습니다. 의사가 특별히 추적검사를 권하지 않았다면 당장은 추가적인 검사나 치료가 필요하지 않을 수 있습니다. 그러나 증상이 지속되거나 심해진다면, 주기적인 추적검사나 신경과 전문의의 상담을 받는 것이 좋습니다.