아핫뉴스실시간 인기검색어
아핫뉴스 화산 이미지
화산 아이콘 11
광주지검 비트코인 분실
많이 본
아하

의료상담

내과

왈라비
왈라비

미국에서 흉부 통증으로 urgent care 방문후 엑 스레이 촬영했는데 사진 확인부탁드립니다

성별
남성
나이대
37

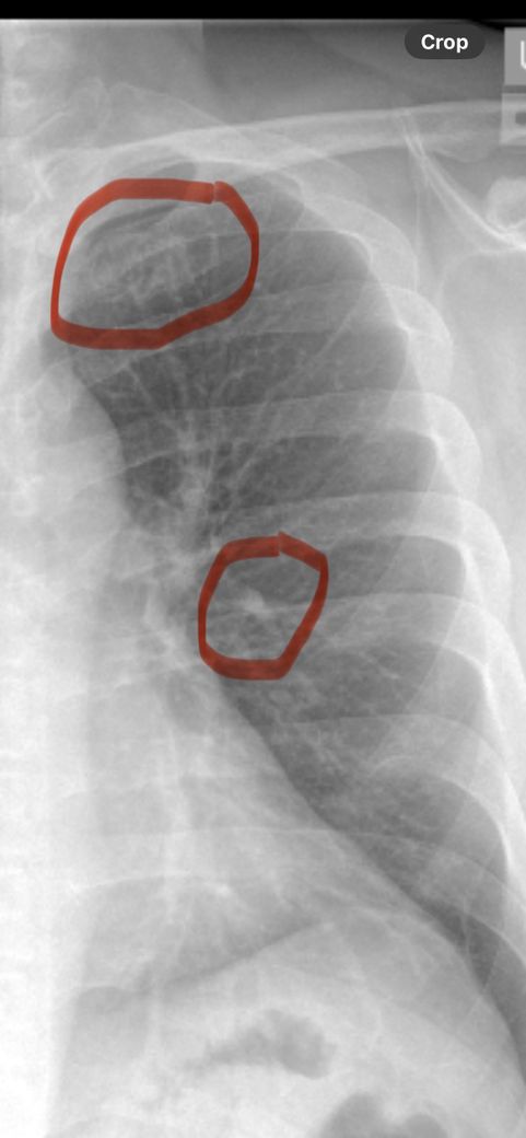
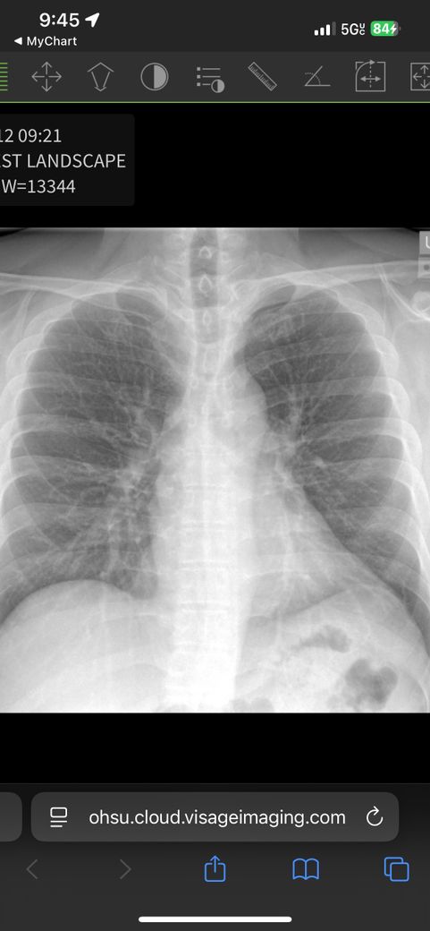
명치주변 그리고 위쪽으로 쥐는듯한 통증이 있어서 폐암이 무서워서 급한대로 urgent care에서 흉부 엑스레이 촬영 및 피검사를 했고 문제가 없다고 하는데.... 어전트케어에는 보통 수간호사가 의사 역활을 해서 사진에 이상이 있는지 확인하 고 싶습니다. 오른쪽 위 쇄골쪽 동그란 형태? 그리고 중앙에 하얀색으로 점처럼 보이는게 괜찮은건가요?... ct 촬영을 하 려면 반년을 기다려해서 걱정입니다

  • 1번 째 사진
  • 2번 째 사진
1개의 답변이 있어요!
  • 안녕하세요. 남희성 의사입니다.

    흡연은 하시나요? 지금의 상황이 폐암을 의심해야하는 상황이 아니고 폐암은 오히려 뼈전이를 하는게 아니라면 통증을 유발하지 않는 경우가 대부분이라서 걱정 안하셔도 되겠습니다.

    X-ray에 표시해주신건 1번 갈비뼈와 기관지입니다. 문제 없는 모습이니 걱정 안하셔도 되겠습니다.

    흉부 통증의 경우는 호흡기 보다는 심장에 대한 진찰 및 검사가 필요하겠습니다.

    우리나라에서는 필요하면 그자리에서 바로 CT를 찍는데... 차이가 크네요.