아핫뉴스실시간 인기검색어
아핫뉴스 화산 이미지
화산 아이콘 11
뮤지컬어워즈 스타 포즈
많이 본
아하

의료상담

내과

왈라비
왈라비

미국에서 흉부 통증으로 urgent care 방문후 엑스레이 촬영했는데 사진 확인부탁드립니다

성별
남성
나이대
37

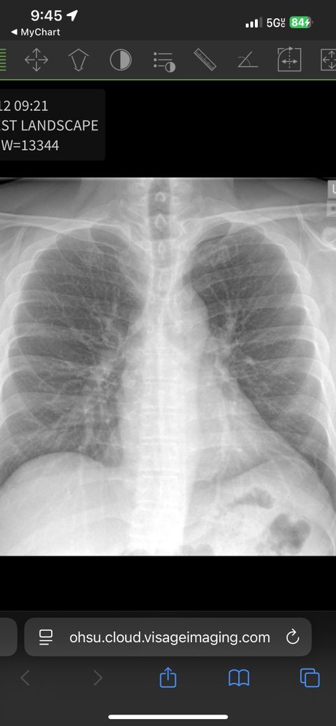
명치주변 그리고 위쪽으로 쥐는듯한 통증이 있어서 폐암이 무서워서 급한대로 urgent care에서 흉부 엑스레이 촬영 및 피검사를 했고 문제가 없다고 하는데…. 어전트케어에는 보통 수간호사가 의사 역활을 해서 사진에 이상이 있는지 확인하고 싶습니다. 오른쪽 위 쇄골쪽 동그란 형태? 그리고 중앙에 하얀색으로 점처럼 보이는게 괜찮은건가요?… ct 촬영을 하려면 반년을 기다려해서 걱정입니다

  • 1번 째 사진
2개의 답변이 있어요!
  • 안녕하세요. 최성훈 내과 전문의입니다.

    올려주신 흉부 엑스레이 사진에서 특별한 이상 소견은 관찰되지 않습니다.

    오른쪽 위 쇄골쪽 동그란 형태는 1번 갈비뼈 사이의 공간을, 중앙에 하얀색 점처럼 보이는 부위는 폐혈관을 말씀하시는 것 같습니다.

    1명 평가
  • 안녕하세요. 차호정 흉부외과 의사입니다.

    사진으로 찍어올려주신 엑스레이만 가지고는 사실 정확한 판단은 어렵지만 보이는 범위 내에서는 특별한 이상이 있어 보이지는 않습니다.

    명치 주변의 쥐어짜는 듯한 통증이 발생할 때는 역류성위식도염을 가장 먼저 의심해 볼 수 있겠으나 심장질환도 감별이 필요합니다. 안타깝게도 이 두 질환 모두 엑스레이로는 진단이 불가한 질환들입니다.

    미국 의료 체계는 우리와는 너무 달라 어떤 검사를 바로 해보시라 조언해드리기 어려운 점 양해바랍니다.

    1명 평가