아하
  • 토픽

  • 스파링

  • 잉크

  • 미션


의료상담

끝없이유순한거북이

끝없이유순한거북이

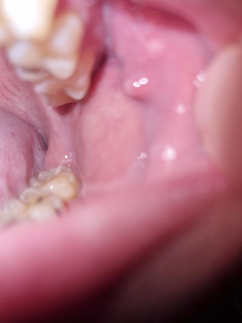
볼 양쪽에 뭐가 생겼습니다.궁금하네요

양쪽으로 위쪽에 돌기같은게 생겼는데 뭔가요??

치료를 받으러 가야되는건지

자연적으로 없어지는지 처음 생기는거라 불안해서요

  • 1번 째 사진
  • 2번 째 사진

4개의 답변이 있어요!

  • 안상우 치과의사

    안상우 치과의사

    목동안치과의원

    안녕하세요. 안상우 치과의사입니다.

    사진으로 보이는 현상은 점막 조직이 치아에 눌려서 생기는 압흔입니다. 치아에 가해지는 힘이 너무 강하다면 해당 부위가 치아 사이로 밀려나면서 치아의 모양이 찍혀나오는 것입니다.

    치아에 너무 많은 힘을 가하게 되면 마무나 턱관절 질환이 생길 수 있기 때문에 치아에 힘이 가해지는 빈도를 줄이는 것이 좋습니다.

  • 안녕하세요. 김철진 치과의사입니다.

    사진에 보이는건 볼살이 치아에 씹혀서 생긴겁니다. 크게 문제가 되는건 없으니 크게 걱정하지마세요.

  • 안녕하세요. 정진석 치과의사입니다.

    해당 부분은 정상적인 구조물로 구강 내에 존재하는 침샘 중 하나입니다. 잇몸 상태에 따라서 두드러지게 보일 수 있고 묻혀서 보이지 않을 수 있습니다. 정상적인 구강 내 조직이므로 크게 걱정하지 않으셔도 됩니다.

  • 안녕하세요. 최석민 치과의사입니다.

    볼을 씹는 등 자극에 의해서 생긴 섬유성 조직 같습니다. 특별히 악성 종양의 양상은 아니니 너무 걱정은 안하셔도 되겠습니다.