아하
  • 토픽

  • 스파링

  • 잉크

  • 미션


의료상담

자유로운참새

자유로운참새

안녕하세요, 치아 발치 문의드립니다!

안녕하세요!

치과 네군데에서 전체적으로 상담만 받았는데,

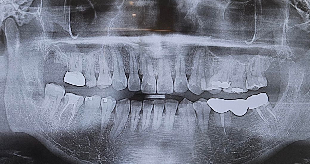
두곳에서 왼쪽 위에 제2소구치(?)를 발치하라고

해서요.

치과에서 교정이나 임플란트 이야기는 안했는데

혹시 발치만 해도 되나요? 교정 이런거 해야하나요?

  • 1번 째 사진

4개의 답변이 있어요!

  • 안상우 치과의사

    안상우 치과의사

    목동안치과의원

    안녕하세요. 안상우 치과의사입니다.

    발치를 하고 나서는 치아의 공간이 비기 때문에 교정을 해야 합니다. 교정을 위해서는 발치를 할 수 있습니다.

    자세한 확인을 위해서 치과에서 진료를 받아보는 것을 권유드립니다

  • 안녕하세요. 최석민 치과의사입니다.

    왼쪽 위 제2소구치(엑스레이 상 오른쪽 위)는 현재 맹출에 있어서 공간이 부족해서 옆 어금니랑 겹쳐 나왔고 이런 경우 원활한 구강위생관리를 위해 그리고 인접 치아의 치근(뿌리)흡수를 방지하기 위해 발치하고 교정으로 재배열을 해주는 치료가 필요할 수 있습니다.

  • 안녕하세요. 김철진 치과의사입니다.

    아마 치열이 좋지 않아서 치아관리가 안되서 발치를 권유하신거 같습니다 .발치하면 하시면될것같습니다.

  • 안녕하세요. 김지훈 치과의사입니다.

    발치를 하고 나서는 그대로 두시면 안됩니다. 임플란트를 심어야 다른 치아들이 자리를 유지합니다.