백신후유증으로 폐 손상이 얼마나 오래 가는지요?
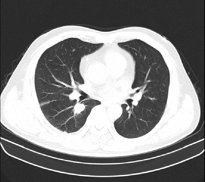
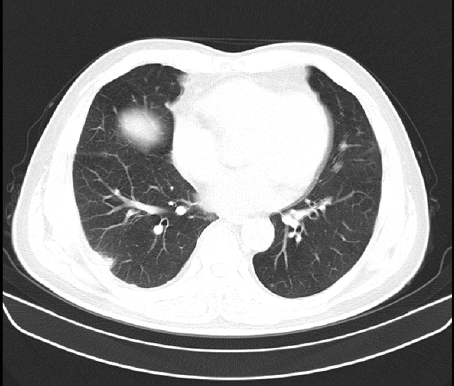
1.2차 아스트라 맞고 괜찮았는데 12/16일에 3차로 화이자 백신 맞고 다음날부터 아프기 시작하여 병원을 다니며 x-ray도 찍고 피검사도 하고 링겔도 맞고 5차례 주사 맞으며 약 먹으며 괜찮아지나 싶었는데 1/1일 20시경부터 흉통과 호흡곤란이 급격히 심해져 다니던 병원 응급실에서 CT와 각종검사결과 폐암의심 소견으로 바로 큰병원 응급실로 가서 격리실에서 통증으로 소리지르고 정신도 왔다갔다하는데 새벽에 의사 3명인가? 들어오더니 폐암이 의심된다 하더라구요~ㅠㅠ 그후 이틀간 금식하며 검사결과 상세불명의 급성폐렴,폐의농양으로 20여일간 입원후 퇴원하고 한달에 한번씩 CT찍으며 추적검사중인데 가슴이 뻐근하고 옆구리도 결리면서 호흡이 아직도 불편합니다. 주변에서는 폐는 회복이 안된다고 많이 얘기하니 답답하네요~ 병원비에 시간도 그렇고 ㅠㅠ 1/1일 CT사진 입니다.
안녕하세요. 최병관 의사입니다.
백신 접종과 그 후유증으로 폐손상은 연관성을 찾기가 어렵습니다. 처음에 폐암으로 의심되었던 병변은 폐렴 및 폐농양으로 확인이 되었다면 일반적으로 폐농양이 다발성이거나 크지 않다면 특별한 후유증을 남기는 경우는 흔치 않습니다. 현재 CT 상에서도 폐실질이 손상되는 코로나19 감염 후 ARDS 소견과는 거리가 있어 보입니다.
안녕하세요 아하(Aha) 의료, 코로나 카테고리에서 활동중인 전문의입니다.
폐손상의 정도에 따라 다르지만 폐렴의 경우는 몇주, 폐섬유화는 영구적으로 진행될 가능성도 존재합니다.
참조하시어 도움이 되기를 바랍니다.
안녕하세요. 김창윤 소아과의사입니다.
현재 찍어주신 사진만으로는 정확히 알 수 없습니다.
현재 상태에 따라 얼마나 갈지 예후가 어떨지 천차만별입니다..
해당 부분은 담당의사와 상의하는 것이 좋겠습니다.
도움이 되셨으면 좋겠습니다. 감사합니다. 😄
안녕하세요. 안상우 치과의사/경제·금융전문가입니다.
백신 접종으로 폐암이 생기거나 하지는 않습니다.
백신으로 인한 불편감으로 이전부터 있었던 폐암이 발견되었을 가능성이 높아요.
안녕하세요. 양은중 약사입니다.
백신 후유증으로 보기는 어렵습니다.
일반적으로 예방접종 후 흔하게 나타나는 국소 이상반응은 접종부위 통증이나 부기, 발적 등이 있으며, 전신반응으로 발열, 피로감, 두통, 근육통, 메스꺼움ㆍ구토 등이 나타날 수 있습니다.
접종 후 흔히 나타나는 반응으로 별다른 조치 없이 대부분 3일 이내 증상이 사라집니다. 이는 정상적인 면역형성과정에서 나타날 수 있습니다.
다만, 39℃ 이상의 고열, 알레르기 반응(두드러기나 발진, 얼굴이나 손 부기) 등의 증상이 나타나거나, 일반적으로 나타나는 이상반응의 증상이 일상생활을 방해하는 정도라면 의료기관을 방문하여 진료를 받으시기 바랍니다.
접종 후 접종부위 부기, 통증, 발적이 48시간이 지나도 호전되지 않는 경우
접종 후 4주 내 호흡곤란, 흉통, 지속적인 복부 통증, 다리 부기와 같은 증상이 나타난 경우
접종 후 심한 또한 2일 이상의 지속적인 두통이 발생하며, 진통제에 반응하지 않거나 조절 되지 않는 경우 또는 시야가 흐려지는 경우
접종 후 갑자기 기운이 떨어지거나 평소와 다른 이상 증상이 나타난 경우
접종 후 접종부위가 아닌 곳에서 멍이나 출혈이 생긴 경우에 의사 진료를 받도록 합니다.
폐 문제는 다 회복이 불가능한 것은 아니고 코로나 감염 후 코로나 바이러스가 폐실질에 침범하여
폐 섬유화를 일으킨 후에는 코로나 완치 후에도 손상받은 폐 부분은 영구적으로 회복되지 않을 수 있습니다.
현재 코로나 확진으로 인한 후유증이 아니고 백신 접종으로 인한 부작용을 생각하시는 거라면 다른 문제로 보입니다.
다만 백신 접종 후 짧은 기간 내에 폐암이 발생했을 가능성 역시 굉장히 낮아 보이므로
이전부터 있었던 병을 증상이 없어 모르고 있다가 뒤늦게 증상이 생겨 검사를 통해 알게되었을 가능성이 조금 더 높아 보입니다.
안녕하세요. 김경태 의사입니다.
섬유화가 진행된다면 그 부분은 회복이 불가능할수도 있습니다만
이건 시간이 어느정도 지나봐야 알수 있습니다.
꾸준히 해당 호흡기내과 진료 보셔야하겠습니다.
안녕하세요. 김윤기 약사입니다.
코로나19 백신 부작용으로 인한 호흡 곤란은 주로 근력 약화를 동반하는 제한성 폐질환의 유형으로 나타나지만, 폐쇄성 폐질환이나 확산능(폐의 산소교환능력) 장애에서 비롯되기도 합니다.
폐포는 일정 수준 이상의 손상을 입게 되면 회복이 불가능한 만성호흡부전 상태에 이를 수 있으므로 계속 치료를 받으셔야 합니다.
안녕하세요. 김철진 치과의사/경제·금융전문가입니다.
말씀대로 폐는 손상이 되면 회복이 되지 않습니다. 아마도 폐렴으로 인해서 병원을 다니시는거 같은데, 병원에서 알려준데로 정기적으로 가셔서 폐검사를 받으시면서 관리를 받으셔야될것같습니다.
안녕하세요. 이세라 약사입니다.
백신 접종 이후 부작용이 나타나신 경우 정밀 검진과 함께 꾸준한 치료가 필요합니다. 현재 정보만으로는 폐암 여부나 회복 가능성 등을 판단하기 어려워 진단의에게 문의하시는 것이 가장 정확합니다.
감사합니다.
안녕하세요.
현재 보이는 RLL lung mass가 흉통의 원인인지는 알 수 없지만 충분히 Cancer의 가능성
이 있으며 이에 대해 조직 검사 등 Evaluation 이 필요한 것으로 보입니다.
흉통은 심장 등 협심증으로 인한 흉통의 가능성이 있으며 흡연을 하시는 경우 오른쪽 아래의
병변은 충분히 악성 종양의 가능성이 높아 조직 검사를 진행하는 것이 좋을 것으로 생각됩니다.
안녕하세요. 송정은 약사입니다.
코로나 바이러스에 감염후 후유증으로 미각 손실과 후각 손실의 가능성이 있으며 바이러스에 의한 중증 감염에 의해 폐 실질의 손상 등으로 인한 폐 섬유화 등 장기적으로 폐기능이 떨어지고 만성 폐질환이 생기는 후유증이 남을 수 있습니다.
이러한 후유증은 비가역적일 가능성이 높으나 대부분 경증으로 앓고 지나가며, 만약 감염증을 심하게 앓지 않았다면 후유증이 없는 경우가 대다수이며,
미각과 후각 상실 등의 경증 후유증이 발생하더라도 시간이 지나면서 서서히 후유증이 사라질 가능성이 높습니다.
개인마다 회복력의 차이가 있기에 몸이 정상으로 돌아는데 까지는 개인차가 큽니다. 회복을 위해 충분한 수면 및 휴식 영양 섭취와 함께 면역력을 올릴 수 있는 베타글루칸 아연 비타민씨와 비타민 비군 복용이 도움을 줄 수 있습니다.
감사합니다.^^안녕하세요. 송우식 치과의사입니다.
코로나 한번이라도 걸리면 폐나 장기에 안좋은 영구적인 영향을 모두 받는 것은 아니며 심하게 후유증이 남는 경우 영향을 받을 수 있으며 후유증이 있는 경우 병원에 방문하여 치료를 받길 권고드립니다.
안녕하세요. 서민석 의사입니다.
많이 고생하셨네요. 보통 염증이라면 항생제 치료후에는 잘 회복됩니다. 섬유화를 유발하는 경우라고 해도 크게 불편함이 없이 회복되지요. 섬유화된 폐가 원래대로 회복되지는 않으나 일상생활에는 지장이 없는 것이 일반적입니다. 아직 불편함이 남아 있기는 하나 좋아질 거라고 생각되네요.
안녕하세요. 박지호 의사입니다.
폐 농양으로 입원하셨다면 이는 일반적으로 3~4주 이상 ( 14주까지도) 항생제 치료를 시행하며 약 5-10% 에서는 반응이 없습니다. 치료에 반응이 없으면 배액 등을 고려하며, 내과적치료에 반응이 없이 점점 커지는 농양의 경우엔 폐절제술을 시행하기도 합니다.
주어진 자료로 정확한 상태를 파악할 순 없겠으나 현재 추적관찰 CT를 촬영중인 상황으로 볼 때 급성기 치료는 어느정도 마무리 된것으로 보이며, 병원 스케줄에 따라 증상을 지켜보는 것이 좋겠습니다.

