아핫뉴스실시간 인기검색어
아핫뉴스 화산 이미지
아하

의료상담

치아 관리

은근히수려한백조
은근히수려한백조

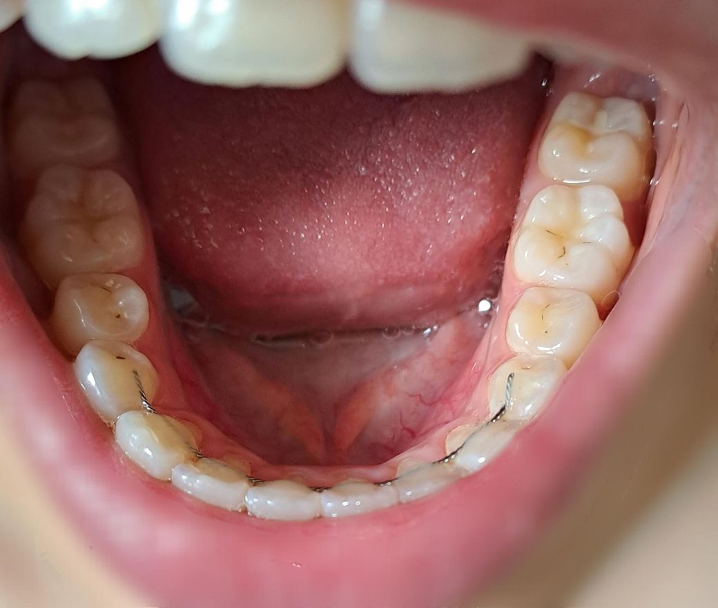
이거 충치일까요? 아니라면 무엇일까요

이빨 사이사이에 있는 검은 점이요..

아무리 봐도 충치 같은데 1년 전 부터 있었거든요

치과는 가야지 가야지 하다가 안 갔었는데 1년이나 지난거면 충치는 아닌거 같기도 하고.. 그럼 뭘까요?

  • 1번 째 사진
55글자 더 채워주세요.
3개의 답변이 있어요!
  • 안녕하세요. 최석민 치과의사입니다.

    충치도 있고 변색도 있는 것 같습니다. 다만, 진행이 빠르게 되는 것은 아닌 정지성 우식(충치)으로 보여집니다. 이전에 레진 충전했던 흔적도 보이는데 레진 재료에 떼가 꼈다고 보시면 됩니다. 아프지 않으면 그냥 둡니다.

  • 안녕하세요. 장인아 치과위생사입니다.

    정지우식으로 보여집니다. 멈추었던 우식이 다시 진행할수 있으니 정기검진과 치아관리를 잘 하면 좋을것 같습니다. 건강하세요.

  • 안녕하세요. 안상우 치과의사입니다.

    사진으로 보이는 부위는 충치일 수도 있지만 간단한 착색일 수도 있습니다. 충치인지 착색인지 확인을 하기 위해서는 치과에서 진료를 받아보는 것이 좋습니다.

PC용 아하 앱 설치 권유 팝업 이미지장도연이 추천하는 아하! 앱으로 편리하게 사용해 보세요.
starbucks
앱 설치하고 미션 완료하면 커피 기프티콘을 드려요!