아하
  • 토픽

  • 스파링

  • 잉크

  • 미션


의료상담

더힘쎈

더힘쎈

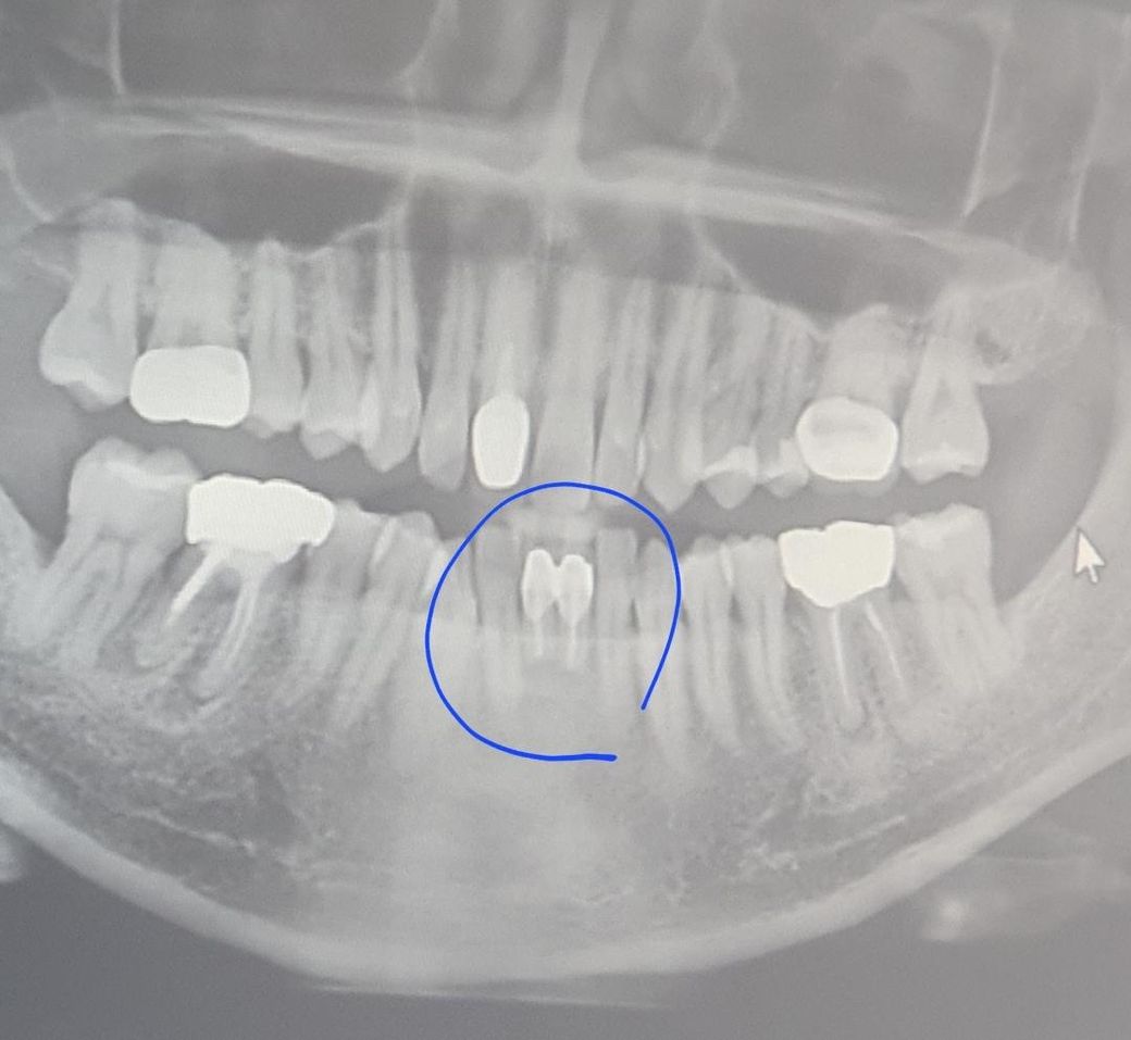
앞니 임플란트 수술시 가능여부 알려주세요

앞니 치근단절제술을 했었고

현재 크라운고철부분이 까맣게보여 새로 씌울지

그냥쓰다 임플란트를 해야 할지 생각중인데

임플란트시 공간이 부족해서 나사 1개밖에 못박을수 있다는데

1개면 너무 약해서 제가 생각하기엔 불안해보이는데

여기에 2개가 불가능할까요?

  • 1번 째 사진

4개의 답변이 있어요!

  • 김철진 치과의사

    김철진 치과의사

    가까운우리치과

    안녕하세요. 김철진 치과의사입니다.

    아래 앞니의 경우에는 치아 크기 자체가 작아서 2개를 뽑고 하나 심고 하나는 가짜 치아를 일반적으로 하게됩니다.

  • 안녕하세요. 안상우 치과의사입니다.

    임플란트를 하기 위해서는 임플란트와 인접지아 그리고 임플란트 간의 일정한 간격을 두어야 합니다. 공간이 너무 좁을 시에는 임플란트가 들어갈 공간이 적을 수 있습니다. 하지만 그만큼 얇은 임플란트를 사용한다면 가능할 수도 있습니다. 자세한 확인을 위해서는 치과에서 진료를 받아보는 것이 좋습니다.

  • 안녕하세요. 김지훈 치과의사입니다.

    두개를 식립하기엔 공간이 부족하여 한개를 심어야할 가능성이 높아보입니다. 파노라마로는 정확한 진단은 한계가 있습니다.

  • 안녕하세요. 최석민 치과의사입니다.

    공간이 아주 좁긴 합니다. 2개를 심고자 한다면 아주 얇은 전치부용 임플란트를 사용해야 하고 수술 실패나 파절의 위험도 있습니다. 1개를 심었을때와 2개를 심었을때 장단점이 있을 것 같습니다.