아핫뉴스실시간 인기검색어
아핫뉴스 화산 이미지
화산 아이콘 11
이해찬 전 총리 별세
많이 본
아하

의료상담

치과

진짜로놀라운메뚜기
진짜로놀라운메뚜기

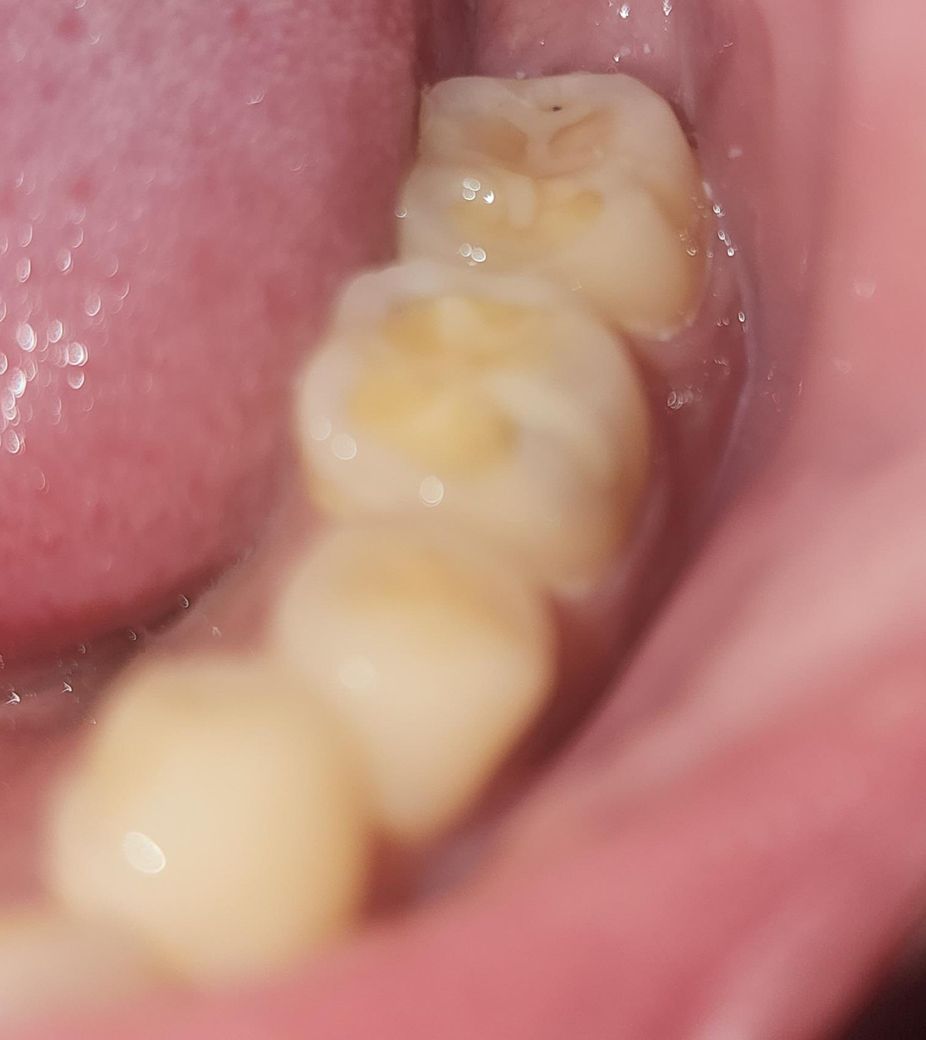
어금니 이거 레진 변색인가요? 충치인가요

3~4년 전에 신경치료 했던 곳인데 교모로 상아질이 노출되거나 2차 충치가 생긴건가요? 아님 단순히 레진 같은 충전제가 변색된 건가요.. 몇년 전이라 인레이나 크라운을 했었는지 기억이 안 나요 ㅠㅠ 치료한게 몇군데나 되서 세라믹 크라운을 씌웠던 곳도 있긴 해요

  • 1번 째 사진
  • 2번 째 사진
1개의 답변이 있어요!
  • 안녕하세요. 최석민 치과의사입니다.

    1. 사진상의 치아는 신경치료나 크라운이 되어 있는게 아닙니다.

    2. 레진으로 떼워놓은 거고, 다소 마모가 되어 있어서 상아질이 노출된 것 같네요.