아핫뉴스실시간 인기검색어
아핫뉴스 화산 이미지
화산 아이콘 11
비트코인 요구 해커 등장
아하

의료상담

피부과

거대한숲제비52
거대한숲제비52

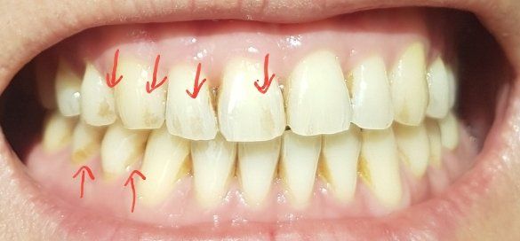
(사진첨부) 전동칫솔사용으로 인한 치아 표면

전동칫솔 사용으로 인해 치아 표면이 약간 검애졌다고 해야하나 치아 부분부분이 약간 색이 변했습니다. 사진에서 화살표로 표기했는데 실제로 보면 어두운색이 더 선명하게 보입니다. 색이 어둡다고 해야하나 어째든 보기 좋지 않네요. 이거 치료 가능한가요?

  • 1번 째 사진
4개의 답변이 있어요!
  • 푸른하늘이
    푸른하늘이

    안녕하세요? 아하(Aha) 의료 분야 지식답변자 안상우 치과의사입니다.
    질문하신 내용에 대하여 아래와 같이 답변 드립니다.

    해당부위는 착색이 진행된것으로 보입니다. 착색은 치아 표면에 미세한 색소가 침착되는 현상으로 커피를 많이 마시거나 흡연을 하는경우에 생기는 경우가 많습니다.

    치과에서 간단하게 제거할수 있습니다.

  • 안녕하세요? 아하(Aha) 의료 분야 지식답변자 정진석 의사입니다.
    질문하신 내용에 대하여 아래와 같이 답변 드립니다.

    치료가 가능할 것으로 보입니다. 단순히 치아 착색인지 아니면 치아의 부분적인 손상인지는 알 수 없으나 치료가 불가능한 것은 아닙니다. 다만 해당 원인을 해결해야 다음에도 똑같은 현상이 나타나지 않으므로 전동칫솔 사용으로 나타났다면 전동칫솔을 사용하지 않는 것이 필요합니다. 가까운 치과 방문 후 검사를 받아보시고 치료하시길 바랍니다.

    아무쪼록 저의 답변이 문제 해결에 작게 나마 도움이 될 수 있기를 기원드립니다. 항상 건강하고, 행복하세요^^

  • 안녕하세요? 아하(Aha) 의료 분야 지식답변자 이성영 의사입니다.
    질문하신 내용에 대하여 아래와 같이 답변 드립니다.

    사진으로 정확한 판단은 어려우나, 치아에 착색이 발생한 경우로 보입니다.

    화살표 친 부분 뿐만 아니라 전반적인 치아에 치태와 착색이 있는 것으로 보이며, 우선적으로 스케일링이 필요할 것으로 보입니다.

    스케일링 및 치아 연마로 착색은 해결할 수 있습니다.

  • 안녕하세요? 아하(Aha) 의료 분야 지식답변자 이정현 의사입니다.
    질문하신 내용에 대하여 아래와 같이 답변 드립니다.

    사진으로만 봤을땐, 전동칫솔을 사용해서 그런것으로 보이지는 않습니다.

    치아에 단순 착색이 된것으로 보입니다. 이것은 스케일링, 치면세마를 하면 없어질 가능성이 높습니다.

    정확한것은 치과에서 검사를 받아보시기 바랍니다. 감사합니다.