아하
  • 토픽

  • 스파링

  • 잉크

  • 미션


의료상담

충청도성게

충청도성게

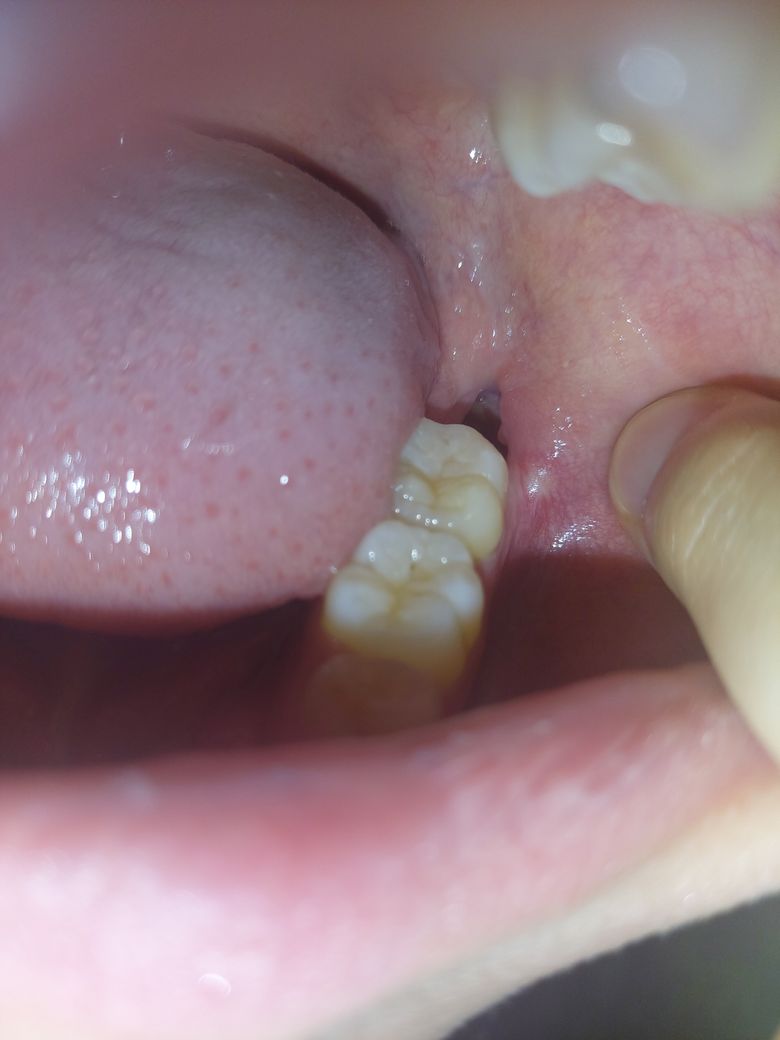
사랑니 뺀 후 2주차 이거 괜찮은걸까요

사랑니 빼고 2주차인데 오늘보니까 뺀곳 옆에 딱딱한 느낌이 나네요. 볼을 당겨서 사진찍어보니까 흰색 뭐가 보이고요. 만져보니까 턱뼈가 재생하면서 저렇게 된것 같은데 혹시 병원에 가야할까요???

  • 1번 째 사진

4개의 답변이 있어요!

  • 송우식 치과의사

    송우식 치과의사

    솔플란트치과 경기도 성남시 모란역

    안녕하세요. 송우식 치과의사입니다.

    현재 사진상으로는 문제가 되어 보이는 부위가 있지 않으며, 만약 붓거나 통증이 발생하는 경우에는 치과에 방문하여 상태를 확인할 필요가 있습니다.

    만족스러운 답변되셨으면 합니다.

    평가 감사합니다.

  • 안녕하세요. 최석민 치과의사입니다.

    특별히 사진상 문제점이 있거나 한 건 아닌것 같습니다 해당 부위로 음식물 끼지 않게 관리 잘해주시면 온전한 치유에 도움이 됩니다

  • 안녕하세요. 김지훈 치과의사입니다.

    올려주신 사진에는 아무런문제가 보이지 않습니다. 몇달 지나면서 자연스럽게 아물겁니다.

  • 안녕하세요. 김철진 치과의사입니다.

    사랑니 발치후에 잇몸이 치유되는 과정중에 생기는 자연스러운 현상이니 너무 걱정하지 않으셔도 될것같습니다.