아핫뉴스실시간 인기검색어
아핫뉴스 화산 이미지
화산 아이콘 11
비트코인 대폭락 경고
많이 본
아하

의료상담

치과

청렴한미어캣176
청렴한미어캣176

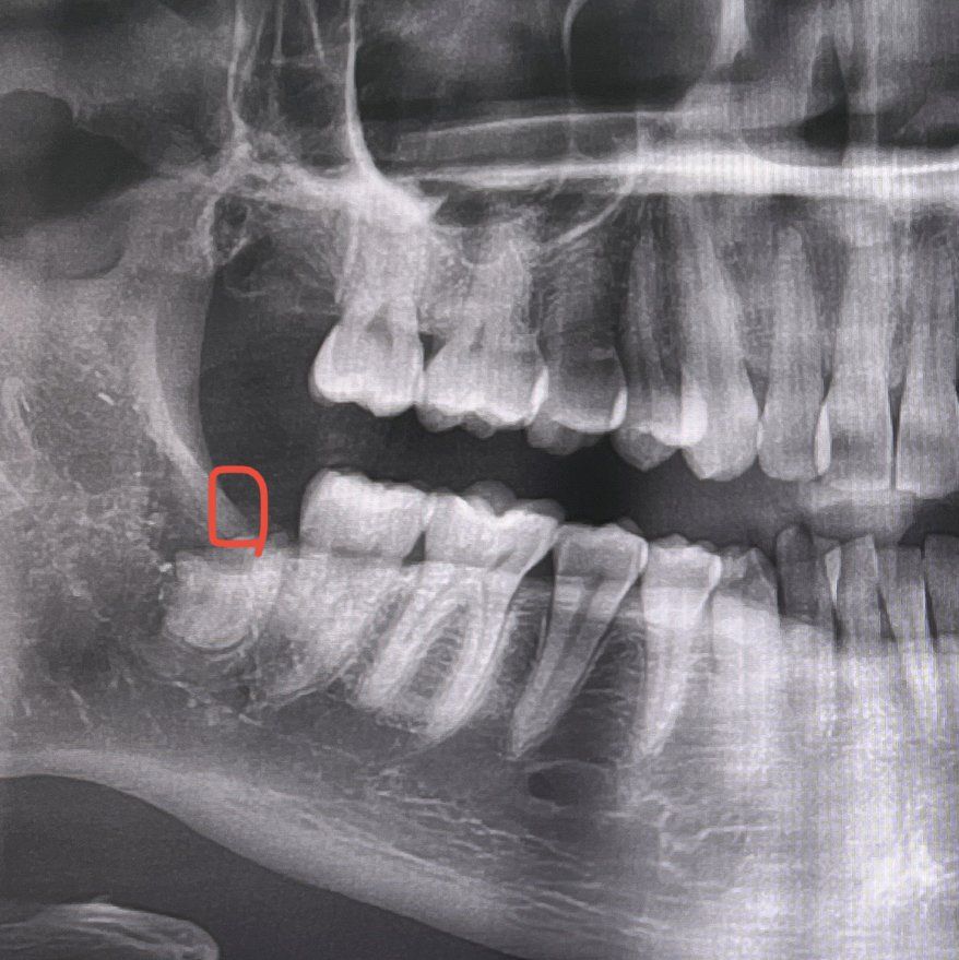
사랑니 발치후 뿌리 발치를 실패했는데요. 사랑니 전문병원에 가면 발치가 가능할까요? (사진첨부)

동네 치과에서 사랑니를 발치하다가 그 치과의사가 발치를 실패해서 뿌리만 남긴 채로 발치를 끝냈는데요.

1.

3주가 지난 지금 사랑니 전문으로 하는 병원에 가서 발치를 할 수 있나요? 뭔가 찝찝한데, 굳이 발치를 하지 않아도 되는 것인가요?

2.

그리고 사랑니 발치후 동그라미 친 부분에 혀를 대보면 뼈 같은게 닿아서 따가운?느낌이 드는데 시간이 지나면 살이 차거나해서 해결되는건가요? 거울을 보니 아주 작게 하얀게 보이는 것 같아서요.

  • 1번 째 사진
1개의 답변이 있어요!
  • 안녕하세요. 이정현 치과의사입니다.

    뿌리가 많이 남은것으로 보입니다.

    이 경우 가능하면 뿌리를 발치하는게 좋아보입니다.

    타 병원에서 상담후, 발치는 가능할 것으로 보입니다.

    현재 하얗고 딱딱한게 있다면 뼈나 치아조각일 가능성이 있습니다. 우선 타 치과에서 체크를 받아보시기 바랍니다. 감사합니다.