의료상담
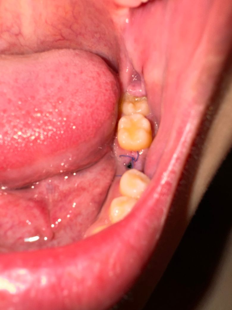
치조골수술 임플란트 식립 동시진행한지 12일 지났습니다
잇몸살이 벌어졌고 안쪽 임플란트가 살짝 보일정도입니다..
이럴경우 경과가 어때보이나요?
실패할 가능성이 높나요?
급해서 질문합니다
55글자 더 채워주세요.
4개의 답변이 있어요!
안녕하세요. 김철진 치과의사입니다.
사진상으로는 크게 문제가 잇어 보이진 않습니다. 하지만, 임플란트 나사가 보인다면 치과에 가셔서 엑스레이를 찍어보셔야될것같습니다.
1명 평가안녕하세요. 안상우 치과의사입니다.
사진으로만 봐서는 크게 문제가 없는 것으로 보입니다. 고리식을 하고 임플란트를 한 부위에 잇몸에는 상처가 있기 때문에 상처가 아무는 동안 해당 부위가 자극되지 않도록 관리를 해주는 것이 좋습니다
1명 평가안녕하세요. 최석민 치과의사입니다.
1. 일단, 지금 잇몸이 살짝 벌어져 있는 것은 전체 임플란트 치료의 성공,실패에 있어서 큰 영향은 미치지 않을 것 같습니다.
2. 임플란트 수술 후 잇몸 상처는 1~2주 정도 지나면 초기 치유가 이뤄집니다.
3. 임플란트는 안쪽에서 잇몸뼈와 융합되고, 잇몸 상처는 나을때까지 2~3달 정도 시간이 걸립니다.
4. 초기 잇몸 치유를 도와주도록 봉합을 하는데 봉합이 좀 느슨한 경우 잇몸이 벌어질 수도 있습니다.
1명 평가안녕하세요. 송우식 치과의사입니다.
현재 잘 아물고 있는 것으로 보이며, 아무는데까지 2-4주정도 시간이 필요로 됩니다.
잘 아물수 있도록 흡연 및 음주는 피하고, 맵고 자극적인 음식도 피하길 권합니다.
궁금증 해소에 도움이 되시길 바라며, 도움이 되신 경우 '추천' 부탁드립니다.
1명 평가

