아핫뉴스실시간 인기검색어
아핫뉴스 화산 이미지
화산 아이콘 11
전현무 KBS 연예대상 수상
아하

의료상담

치과

투명한바다꿩154
투명한바다꿩154

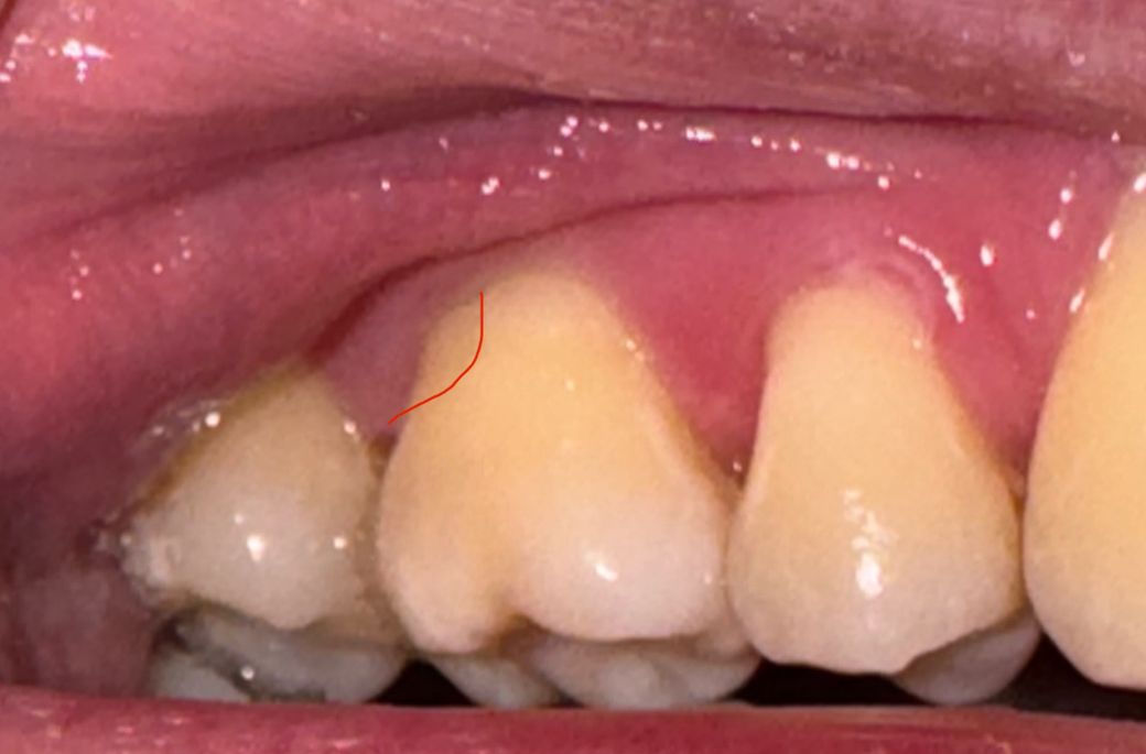
인레이 깨졌는데 음료수 먹어도 되나요?

치실하고 두 줄 치실로 한 번 더 닦아 주다가 많이 깨진 건 아니고 저기 겉에 쌀알만큼 깨졌어요 새벽에요

근데 물 먹어도 너무 덥고 밥 반찬이 너무 매워서 속 아파서 복숭아 아이스티 먹고 싶은데 먹어도 되나요?

치과는 내일 가기로 예약 했고 여기는 치실하지 말라고 왼쪽으로 밥 먹으라고 했어요

왼쪽으로 밥 먹었고 음료수 먹어도 된다고 하시면 옆면은 멀쩡해서 실 치실할려고요

  • 1번 째 사진
  • 2번 째 사진
5개의 답변이 있어요!
  • 안녕하세요 치과의사 김철진입니다. 일단 음료수를 드셔보시고 시리지 않으시면 드셔도 되지만, 시리거나 불편감이 잇다면 치료받을떄까지는 안드시는게 좋습니다.

  • 인내가 파절이 되었어도 음식은 정상적으로 드셔도 괜찮습니다 파절된 부위로 음식물이 끼거나 할 수 있기 때문에 보채물이 파절되었다면 빠르게 치료를 해주는 것이 좋습니다

  • 인레이가 깨지더라도 음료수는 편하게 드셔도 상관없습니다. 음식은 씹지 않도록 주의하시면 되고

    치실은 매우 조심해서 하거나 안하셔도 됩니다.

  • 말씀하신 부위는 인레이가 아닌 레진일 가능성이 있어 보입니다. 시리거나 특별히 통증이 없다면 말씀하신 음식 섭취를 제한할 필요는 없습니다. 물론 치과를 방문하기 전까지 해당 부위로 직접적으로 씹거나 하는 행동은 삼가해주는 것이 좋습니다.

    아무쪼록 저의 답변이 문제 해결에 작게 나마 도움이 될 수 있기를 기원드립니다. 항상 건강하고, 행복하세요^^

    정진석 치과의사 드림

  • 네 음료수 섭취는 괜찮습니다. 다만 수복물이 탈락했기 때문에 치아가 찬 음료수로 인해서 자극이 되어 시릴 순 있습니다. 만약 시린증상이 자극원을 제거해도 1분이상 길게 지속되면 신경이 직,간접적으로 노출된 것이므로 신경치료의 가능성도 있습니다.