의료상담
종양이 재발되었다고 하는데 두려운 마음에 질문드립니다. ct판독 부탁드려도 될까요?
성별
여성
나이대
53
기저질환
비염
복용중인 약
알러지약
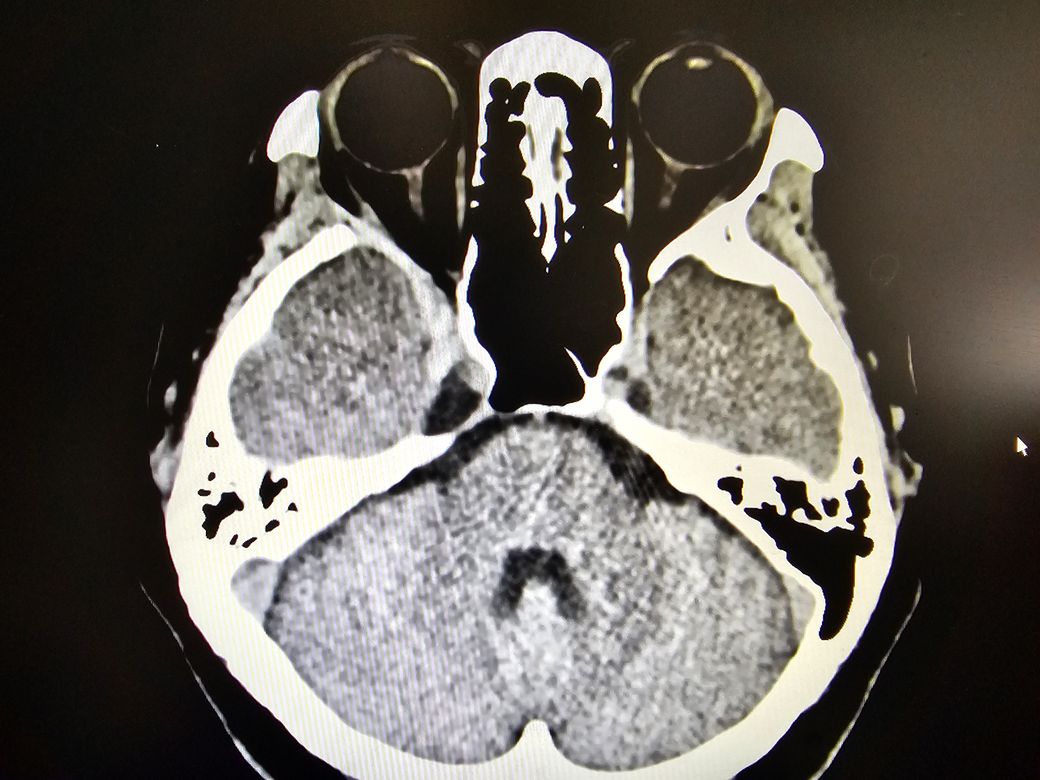
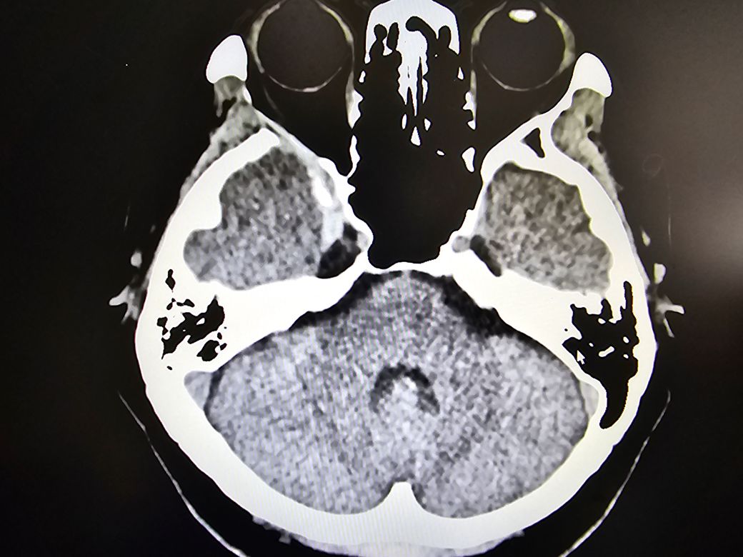
5년전에 오른쪽 뇌에 양성 뇌종양수술을 했고 얼마전 아침마다 일주일이상 같은 시간에 같은 증상의 쇠신이마두통이 심해서 준종합병원에서 ct를 찍었는데 종양이 재발됐고 8.6미리라고 하셨고 수술한 병원에서 다시 mri를 찍어보고 감마나이프 수술을 하라고 하셨는데 불안한 마음이 질문드립니다.
55글자 더 채워주세요.
1개의 답변이 있어요!
안녕하세요. 영상의학과 전문의 최원제 의사입니다.
올려주신 사진만으로는 뇌종양 여부를 판단하기가 어렵습니다.
CT를 찍은 준종합병원에서 판독이 나왔을 테니, 판독지를 확인해보시기 바랍니다.

