매복 사랑니 발치 필요할까요?
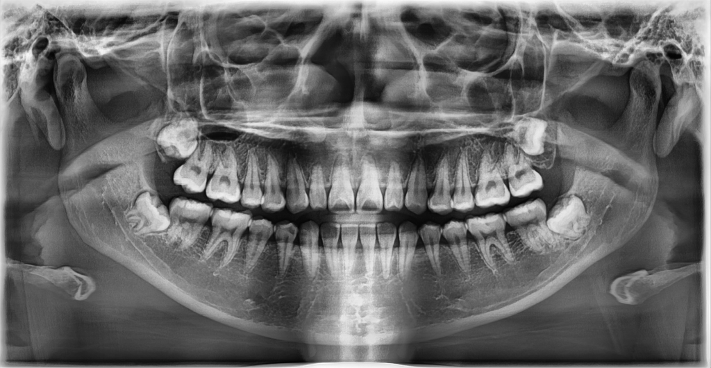
안녕하세요, 최근 동네 치과에서 사랑니를 확인하려고 엑스레이를 찍었다가 4개의 매복 사랑니가 있으며, 그 중 몇 개는 신경을 누르고 있을지도 모르니 대학병원에서 ct를 찍어 보라는 권유를 듣고 (대학병원은 아니지만) 구강외과전문의가 있는 사랑니 전문 치과로 옮겨서 엑스레이 촬영 및 상담을 받았는데요...
의사 분 말씀을 들어 보니 사랑니를 발치할 생각이 아니면 ct를 찍을 필요는 없다고 하시더라고요. 그래서 아래에 첨부한 파노라마만 보고 이야기를 나누었는데...
의사 선생님 말씀으로는 위쪽 사랑니 두 개는 평생 문제 일으킬 일 없고, 아래쪽 사랑니 두 개도 웬만하면 문제 없을 거라고 하시더라고요. 또 사랑니들이 너무 깊숙이 있다고... 그래서 굳이 지금 발치할 필요는 없다고 하시기에 그날은 스케일링만 받고 나왔거든요.
그런데 찾아 보니 매복 사랑니는 처음에는 별 증상이 없어도 나이 먹으면서 문제를 일으킬 가능성이 높으니 한 살이라도 젊을 때 발치하라는 이야기가 많아서 좀 무섭더라구요...ㅜㅜ
의사 선생님께서도 어차피 문제가 생길 거면 오래 안 가서 생길 거라고 하기도 하셨고... 해서 불안해서 질문 드립니다.
1. 엑스레이 상으로 볼 때 제 사랑니가 신경을 누르고 있거나, 나중에라도 신경을 누를 확률이 큰가요? 뽑아야 하는 사랑니인가요?
2. 우선은 경과를 지켜보면서 6개월~1년 주기로 엑스레이를 찍으며 사랑니의 상태를 확인해 볼까 하는데, 그러지 말고 다른 치과에 가서 ct를 찍어 더 정밀하게 확인하거나, 아니면 차라리 미리 발치를 해서 혹시 모를 문제를 방지하는 게 좋을까요?
3. 매복 사랑니의 경우 어떤 문제/증상이 발생했을 때 발치하러 가야 하나요?
안녕하세요. 김철진 치과의사입니다.
1. 엑스레이 상으로 볼 때 제 사랑니가 신경을 누르고 있거나, 나중에라도 신경을 누를 확률이 큰가요? 뽑아야 하는 사랑니인가요?
-사랑니가 신경을 눌러서 문제가 생기는건 없습니다. 발치할때 손상가능성이 있는거죠.
2. 우선은 경과를 지켜보면서 6개월~1년 주기로 엑스레이를 찍으며 사랑니의 상태를 확인해 볼까 하는데, 그러지 말고 다른 치과에 가서 ct를 찍어 더 정밀하게 확인하거나, 아니면 차라리 미리 발치를 해서 혹시 모를 문제를 방지하는 게 좋을까요?
-사랑니가 깊게 잇는건 문제가 되지 않습니다. 사랑니가 관리가 안되서 문제가 생길때 발치를 하게되는경우 신경이랑 가까우면 손상 가능성이 있습니다.
3. 매복 사랑니의 경우 어떤 문제/증상이 발생했을 때 발치하러 가야 하나요?
-관리가 안되서 염증이 생기거나 충치가 생긴다면 발치를 하시는게 좋죠.
1명 평가

