아하
  • 토픽

  • 스파링

  • 잉크

  • 미션


의료상담

진기한웜뱃57

진기한웜뱃57

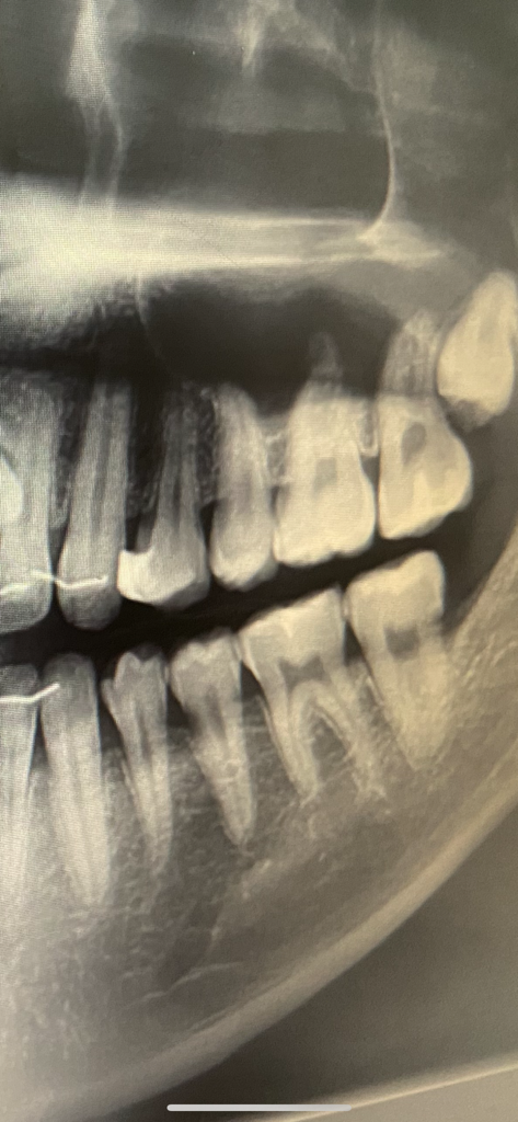
치과를 가야 하는데 엑스레이 보는 법을 알려주세요.



아래 두번째 어금니 문제로 치과를 가야 합니다.

이전에 충치가 생겨 레진으로 때웠던 기억이 있는데

단순히 때우기만 한 것인지, 인레이로 한 것인지 기억이 잘 나지 않네요.

다행히 엑스레이가 있긴 한데 보는 방법을 모르겠어요.

그리고 저 부위에 약간 단차? 같은 것이 느껴져서 치과를 가려 하는데 가면 충치치료를 다시 받게 될까요?

  • 1번 째 사진

1개의 답변이 있어요!

  • 김철진 치과의사

    김철진 치과의사

    가까운우리치과

    안녕하세요. 김철진 치과의사입니다.

    엑스레이 상에서 보면 인레이로 하신건 아닌거 같습니다. 가장 뒤치아는 인레이로 햇을 가능성이 잇습니다. 엑스레이 상태로만 본다면 치아의 씹는면이 교모가 된거 같으니 치과에 가셔서 검진을 받아보세요.