아핫뉴스실시간 인기검색어
아핫뉴스 화산 이미지
화산 아이콘 11
제주항공 참사 1주기 추모
아하

의료상담

치과

조신한황로194
조신한황로194

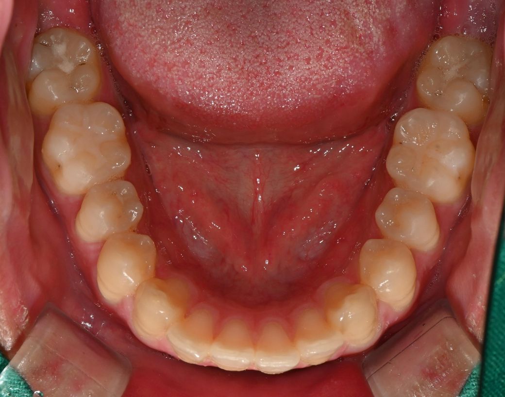
인레이 해야되는 깊은충치인가요??

오늘 찍은 사진입니다. 원장님이 인레이가필요한 상아질 인접충치가 어금니에 있다하시는데 그정도로 깊은충치가 보이시나요? 진료철학 차이이신지 아님 3주동안 진행된건지 모르겠지만 3주전에는 기다려보자고 판정받은 충치입니다

  • 1번 째 사진
  • 2번 째 사진
  • 3번 째 사진
4개의 답변이 있어요!
  • 파노라마 사진은 치아의 전체적인 모습을 보여주는 것으로 보통 잇몸상태를 체크하기 위한 목적 및 간단한 진단을 위한 것입니다. 치근단 사진이 필요합니다.

  • 인접면의 상아질 충치가 있다면 해당 사진으로는 판단하기가 어렵습니다. panorama 사진이 아닌 해당 부위의 정밀한 x-ray 사진이 있어야 보입니다. panorama는 치아끼리 인접한 부분이 겹쳐 보이므로 인접한 충치를 진단하는데 효과적이지 않습니다.

    아무쪼록 저의 답변이 문제 해결에 작게 나마 도움이 될 수 있기를 기원드립니다. 항상 건강하고, 행복하세요^^

    정진석 치과의사 드림

  • 안녕하세요 치과의사 김철진입니다. 예전에 치료를 햇던 곳을 제거하고 치료를 해야되기 때문에 삭제량이 많아질꺼 같아서 인레이를 설명하신거 같습니다.

  • 사진으로만은 룸메이트를 해야 될 정도로 깊은 충치가 보이지 않습니다. 인접면에 충치가 있거나 충치의 범위가 넓다면 인레이 치료를 해야 할 수 있습니다.