아핫뉴스실시간 인기검색어
아핫뉴스 화산 이미지
아하

의료상담

치아 관리

지적인오징어219
지적인오징어219

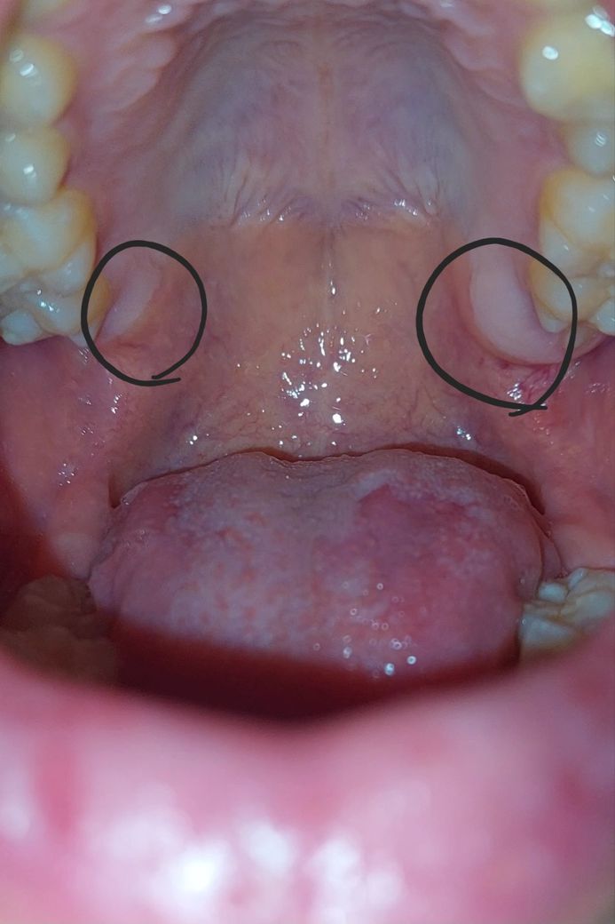
입천장에 하얗고 단단한 부분이 대체 뭘까요?

입안을 거울로 들여다보다가 발견했는데 양쪽 크기가 다르고 만지면 단단한 느낌이 듭니다. 이게 뭘까요? 병원에 가야 한다면 치과를 가봐야 할까요?

  • 1번 째 사진
55글자 더 채워주세요.
3개의 답변이 있어요!
  • 안녕하세요. 김철진 치과의사입니다.

    사랑니가 없다면 잇몸뼈가 저렇게 보이는거 같습니다. 크게 문제가 잇는건 아니니 걱정하지 않으셔도 될것같습니다.

  • 안녕하세요. 최석민 치과의사입니다.

    해당 부위의 해부학적 명칭은 상악결절이고 위 턱 사랑니가 위치한 부분입니다. 보통 사랑니가 잇몸, 잇몸뼈 속에 있고 맹출을 시작할 때 맹출성 치은염을 유발하여 잇몸 부위가 살짝 자극이 가해지는 경우가 있습니다. 치과에서 해당 부위 방사선 사진을 찍어보시고 사랑니 유무를 검사해보시고 그 다음에 사랑니와 상관이 없다는 것으로 판명되면 구강내과가 진료과로 있는 치과를 한번 가보시는 것이 좋을 것 같습니다.

  • 안녕하세요. 안상우 치과의사입니다.

    해당 부위는 시야를 지탱하는 치조골이 밖으로 자라서 나와 있는 형태입니다 큰 문제가 있는 것은 아니기 때문에 걱정하지 않으셔도 되지만 딱딱한 음식을 먹었을 경우에 해당 부위에 상처가 나서 불편할 수 있기 때문에 너무 딱딱하거나 날카로운 음식을 먹지 않는 것이 좋습니다

PC용 아하 앱 설치 권유 팝업 이미지장도연이 추천하는 아하! 앱으로 편리하게 사용해 보세요.
starbucks
앱 설치하고 미션 완료하면 커피 기프티콘을 드려요!