아하
  • 토픽

  • 스파링

  • 잉크

  • 미션


의료상담

아주새로운보스

아주새로운보스

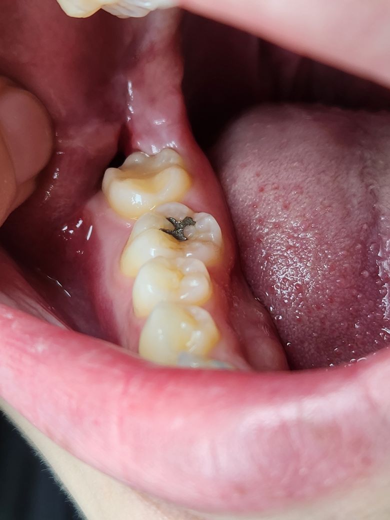
사랑니 발치 일주일 지났는데 구멍 괜찮나요?...

저번주 수요일에 매복 사랑니 발치하고

이번주 수요일에 실밥 뽑았습니다.

아쿠아픽으로 관리해도 된다해서

어제 뽑은 자리에 음식물이 있어서 아쿠아픽했는데 핏물 나오고 찌꺼기?같은게 좀 많이 나왔어요..

그러고나서 구멍이 뻥 뚫렸는데 괜찮은건가요?

병원 가봐야할까요?

  • 1번 째 사진

5개의 답변이 있어요!

  • 송우식 치과의사

    송우식 치과의사

    솔플란트치과 경기도 성남시 모란역

    안녕하세요. 송우식 치과의사입니다.

    사진상 문제가 있어보이지 않으며, 해당부위에 음식물 찌꺼기가 남지 않도록 양치시 꼼꼼히 관리하여주길 권합니다.

    궁금증 해소에 도움이 되시길 바라며, 도움이 되신 경우 평가 별점 5개 ★★★★★ 부탁드립니다.

  • 안녕하세요. 김지훈 치과의사입니다.

    사진에서 볼 때에는 아무런 문제가 보이지 않습니다. 잘 아무는 것 같으니 이대로 있으셔도 괜찮습니다.

  • 안녕하세요. 김철진 치과의사입니다.

    사랑니 발치를 하고나서 잇몸이 아무는데는 최소 한달정도 시간이 소요됩니다. 그전까지는 음식물이 잘 낄수 있으니 물로 여러번 헹궈주시는게 좋습니다.

  • 안녕하세요. 최석민 치과의사입니다.

    보통은 발치 후 잇몸 초기 치유 까지는 1~2주 정도 걸립니다. 실밥 뽑을 때 치과에서 해당 부위 잇몸에 대해 살펴봤을 것이고 문제가 보였다면 말을 해줬을 것입니다. 발치 부위 잇몸 위생관리 잘해주시고, 완전히 구멍이 아물기까지는 1~2달 정도 걸립니다.

  • 안녕하세요. 안상우 치과의사입니다.

    워터픽을 사용해서 발치한 부위를 세정을 할 때 출혈이 된다면 잇몸에 상처가 생기고 있다는 것입니다. 출혈이 된다면 가능하면 해당되는 워터픽으로 사용을 하지 않는 것이 좋습니다.