의료상담
교정 때문에 발치 후 통증 및 잇몸 변색되어 질문 드립니다.
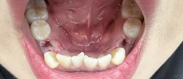
교정 때문에 치아 발치하였고 발치하고 2-3일째 입니다.
근데 간질간질한거 같으면서 통증이 살짝 있고 구내염처럼 흰색으로 변했는데
염증인건가요 ??
1개의 답변이 있어요!
안녕하세요. 최석민 치과의사입니다.
사진은 화질이 좋지 않아 잘 보이지 않으나 보통 발치 후 발치 부위에 흰색 무언가 생기는 것은 잇몸 치유 과정에서 생기는 염증, 육아 조직입니다.
교정 때문에 치아 발치하였고 발치하고 2-3일째 입니다.
근데 간질간질한거 같으면서 통증이 살짝 있고 구내염처럼 흰색으로 변했는데
염증인건가요 ??
안녕하세요. 최석민 치과의사입니다.
사진은 화질이 좋지 않아 잘 보이지 않으나 보통 발치 후 발치 부위에 흰색 무언가 생기는 것은 잇몸 치유 과정에서 생기는 염증, 육아 조직입니다.