아하
  • 토픽

  • 스파링

  • 잉크

  • 미션


의료상담

나또개미163

나또개미163

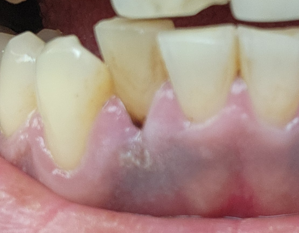
치아한개가 변색되고 뿌리부분이 까맣게올라왔는데요

아랫니 사진상 가운데부분인데 무슨문제가 있는건가요?

전에 사랑니 뽑을때 갔던치과도 그렇고

얘기했었는데 다들 별말씀안하셨는데

최근에 좀 일이 많이피곤한데 까맣게올라오고

변색이 신경쓰입니다

많이피곤한날은 이쪽잇몸이 살짝붓고

치아부분이 살짝아립니다

평소에는 또 통증없이 괜찮구요

치료가 필요한가요? 무슨병명인가요?



  • 1번 째 사진

3개의 답변이 있어요!

  • 정진석 치과의사

    정진석 치과의사

    대학병원 통합치의학전문의

    안녕하세요. 정진석 치과의사입니다.

    현재 상태로 보아서는 잇몸 질환이 있을 가능성이 크며 치아 자체도 동요도가 있을 수 있어 보입니다. 해당 부분은 착색된 것인지, 과거에 치료에 사용된 재료가 노출된 것인지 현재 사진으로는 알 수 없습니다. 정확한 판단을 위해서는 x-ray 등의 촬영이 필요하며 다시 한 번 치과를 방문 해보시길 바랍니다.

    아무쪼록 저의 답변이 문제 해결에 작게 나마 도움이 될 수 있기를 기원드립니다. 항상 건강하고, 행복하세요^^

    정진석 치과의사 드림

  • 안녕하세요. 김철진 치과의사입니다.

    잇몸부위에 착색이 된거일수도 잇고 저 부위가 외상을 당해서 그랫을 가능성도 잇을것같습니다.

  • 안녕하세요. 송우식 치과의사입니다.

    잇몸이 검게 변한 경우 현재 잇몸에 염증이 있거나 혈관과 신경이 손상되어 나타나는 증상으로 빠른시일내에 치과진료를 받길 권합니다.

    궁금증 해소에 도움이 되시길 바라며, 도움이 되신 경우 '추천' 부탁드립니다.