아하
  • 토픽

  • 스파링

  • 잉크

  • 미션


의료상담

일반적으로열정넘치는수제비

일반적으로열정넘치는수제비

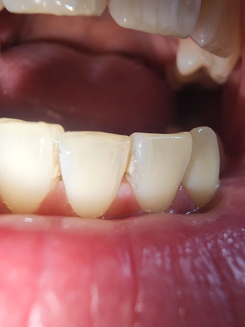
이런 치석을 제거 안하면 문제가 생길까요?

턱쪽 앞니에 잇몸쪽에는 아니고 그 위쪽에 치석이 생겼어요. 치석이 잇몸에만 영향을 주는거면 잇몸쪽에 치석이 있지 않으니깐 제거를 하지 않아도 될까요? 평소 치간칫솔을 자주 사용해서 잇몸쪽에는 안 생긴 것 같아요.

  • 1번 째 사진

5개의 답변이 있어요!

  • 안상우 치과의사

    안상우 치과의사

    목동안치과의원

    안녕하세요. 안상우 치과의사입니다.

    치석이 잇몸과 닿고 있지 않는다면 결과적으로 잇몸에 염증을 일으키진 않습니다. 하지만 치석이 남아 있다면 그 주변으로 치석이 더 생길 수 있기 때문에 같이 제거를 해주는 것이 좋습니다

  • 안녕하세요. 김지훈 치과의사입니다.

    현재 보이는 치석들은 제거를 해주셔야 합니다. 치석이 있으면 잇몸의 염증과 입냄새가 심합니다.

  • 안녕하세요. 김철진 치과의사입니다.

    치석을 제거하지 않게되면 입냄새가 날수도 잇고, 염증이 생길수도 잇으니 치과에 가셔서 정기적으로 스켈링을 받으시는게 좋습니다.

  • 안녕하세요. 최석민 치과의사입니다.

    치아 표면의 치석이라 잇몸에 염증을 유발하는 가능성은 적더라도 치석으로 인해 음식물 저류 현상이 일어날 수 있고 그로 인해 충치가 유발될 수 있습니다.

  • 안녕하세요. 송우식 치과의사입니다.

    치석을 방치하는 경우에는 충치 및 잇모에 염증을 유발할 가능성이 높아지기에 치석이 쌓이지 않게 양치를 꼼꼼하게 하는 것이 중요합니다. 만약 치석이 보다는 경우 치과에 방문하여 스케일링 치료를 받길 권합니다.

    궁금증 해소에 도움이 되시길 바라며, 도움이 되신 경우 평가 별점 5개 ★★★★★ 부탁드립니다.