아핫뉴스실시간 인기검색어
아핫뉴스 화산 이미지
화산 아이콘 11
제주항공 참사 1주기 추모
아하

의료상담

치과

굉장한호박벌35
굉장한호박벌35

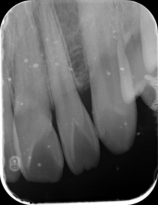
앞니 사이 인접면 충치가 있나요?(사진 첨부)

치과 2곳을 방문하였는데

12, 11, 21, 22 번 4개 앞니 치아들에 대해서

큰 충치여서 치료해야한다. vs 충치가 있긴 하지만 관리만 잘해주면 된다.

이렇게 두가지 의견으로 나뉘었습니다.

저의 질문은

1. 법랑질만 우식된 충치인가요? 아니면 상아질까지 우식된 충치인가요?

2. 선생님들은 치료가 필요한 상태라고 보시나요? 아니면 관리하며 지켜보면 좋을까요?

3. 만약 치료가 필요하다면 치료가 필요한 치아는 어디일까요? (치아번호로 말씀해주시면 감사하겠습니다)

정직하게 답변해주시면 정말 감사드리겠습니다ㅠㅠ

  • 1번 째 사진
  • 2번 째 사진
  • 3번 째 사진
  • 4번 째 사진
  • 5번 째 사진
4개의 답변이 있어요!
  • 내마음가는대로룰루랄라니나노
    내마음가는대로룰루랄라니나노

    안녕하세요. 한성미 치과위생사입니다.

    엑스레이 상으로는 11과 12번의 사이, 21과 22의 사이에 충치가 있는 것으로 보이는데 맞나요?

    실제로 바람불어서 긁어봐야 판단이 설 것 같긴한데 일단 엑스레이만 봐서는 관리를 잘한다고 해서 진행을 멈출 사이즈의 충치는 아닌 것 같은데, 지금처럼 인접면 충치의 경우에는 충치부위에 기구접근이 안되기 때문에 딱 충치부분만 제거를 할 수가 없어요. 그래서 좀 더 커질때까지 두고 보자vs지금 치료를 하자 이렇게 나뉜 것 같은데 원래 정석적으로는 바로 치료를 하는게 맞긴 합니다만, 치료를 해서 얻는 것보다 정상치질을 더 제거해야해서 잃는 실이 더 많다고 판단이 되면 좀 더 있다가 하기도 합니다. 이런 애매한 경우는 환자분께서 결정을 하시면 될 것 같습니다.

  • 안녕하세요. 정진석 치과의사입니다.

    1. 법랑질 수준에 국한된 충치입니다.

    2. 심미적으로 해당 부위가 검게 보이지 않는다면 관리를 하면서 지켜볼 수도 있습니다. 다만 겉으로 보기에는 검게 보인다면 치료를 하는 것이 맞으며 이는 심미적인 이유 때문입니다.

    3. 11, 21 모두 치아에 일부 충치가 보입니다. 따라서 2곳 모두 치료해야할 것으로 보입니다.

    아무쪼록 저의 답변이 문제 해결에 작게 나마 도움이 될 수 있기를 기원드립니다. 항상 건강하고, 행복하세요^^

    정진석 치과의사 드림

  • 안녕하세요. 김철진 치과의사입니다.

    엑스레이 상으로는 충치가 크게 보이진 않습니다. 저정도라면 저도 일단은 관리를 잘하시면서 지켜보라고 할것같습니다.

  • 안녕하세요. 안상우 치과의사입니다.

    사진으로 보기에는 초기 우식이 보이기는 합니다. 하지만 ㅣㅊ료여부는 육안으로 확인을 해야알수가 있어요.

    사진응 앞뒤가 겹쳐진 2차원 모잉야지만 충치는 3차원 공간으로 분석을 해야 하기 때문이에요.