안녕하세요. 정진석 치과의사입니다.
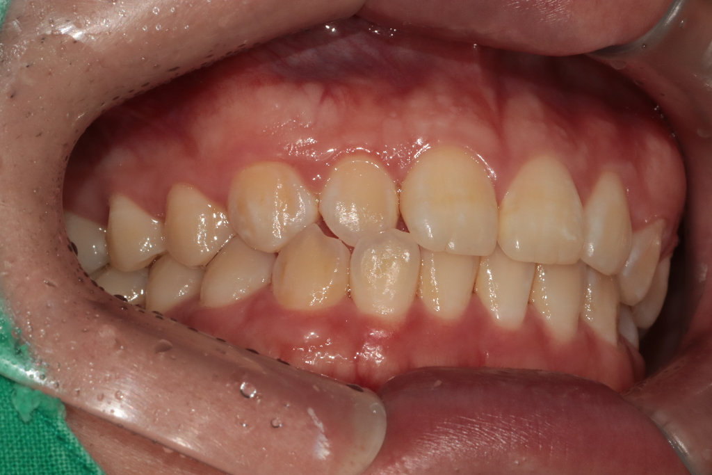
골격과 치아 문제는 아닌 것으로 보입니다. 또한 어느 누구도 입을 다물면 아래턱에 힘이 들어가는 것은 당연합니다. 이는 폐구근에 의해 나타나는 정상적인 생리 반응입니다. 다만 본인이 느끼기에 너무 불편하다고 판단이 된다면 대학병원 방문 후 구강내과를 한 번 방문해보시길 바랍니다.
아무쪼록 저의 답변이 문제 해결에 작게 나마 도움이 될 수 있기를 기원드립니다. 항상 건강하고, 행복하세요^^
정진석 치과의사 드림
안녕하세요. 안상우 치과의사/경제·금융전문가입니다.
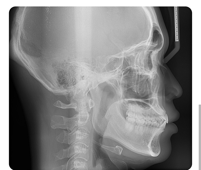
치아와 턱이 불편하거나 소리가 난다면 턱관절 질환을 의심해 볼수 있습니다.
턱관절에 문제가 생기는 이유는 여러가지가 있을 수 있는데 주로 원인이 되는 것이 턱에 과도한 힘이 들어가는 현상 때문인 경우가 많아요.
치아에 힘이 들어가는 경우는 평소에 우리가 음식을 먹으려는 순간이지만 치아에 힘이 가하지 않아야 할 순간에도 힘이 가해지는 경우가 있어요.
예를 들면 힘든 운동을 한다거나 무언가 집중할때 치아를 꽉 물고 있는 습관, 수면시 무의식중에 이를 갈거나 강하게 무는 습관 또는 등에 의해서 턱관절에는 필요 이상의 힘이 들어가게 됩니다.
턱관절을 치료하는 방법은 결과적으로 이 턱관절에 들어가는 힘을 줄이는 것 입니다. 턱을 괴거나 하는 것이 아닌 이상 치아에 닿았을 경우에만 턱관절에 힘이 들어갑니다. 따라서 치아가 닿는 시간을 최소한으로 하고 치아가 닿는 순간에도 평소보다 1/2의 힘이 들어가게 행동조절을 하게 되면 턱관절에 들어가는 힘을 줄일 수 있습니다.
힘을 줄이지 않고 방치했을경우에는 턱관절에 있는 디스크가 변형이 되어 소리가 나고 통증이 올수 있어요
인지하는 중에 힘조절을 하실수 있으면 조절을 해주시는게 좋고 자는 동안이라든지 무의식중에 그런 습관이 있는경우는 근육이완제같은 약물 치료나 스플린트를 이용해 턱관절에 들어가는 힘을 줄일 수 있습니다.
자세한 확인을 위해서 치과에서 진료를 받아보세요.
참고 - 턱관절질환
안녕하세요. 김철진 치과의사/경제·금융전문가입니다.
당연히 치아를 꽉 깨물고 있으면 불편감이 잇습니다. 치과 악습관중에 이꽉깨물기 이갈이등이 있습니다. 앞니 교합이 긴밀하신거 같긴합니ㅏㄷ.

