아핫뉴스실시간 인기검색어
아핫뉴스 화산 이미지
화산 아이콘 11
MC몽 차가원 불륜 부인
아하

의료상담

이비인후과

그냥돼지
그냥돼지

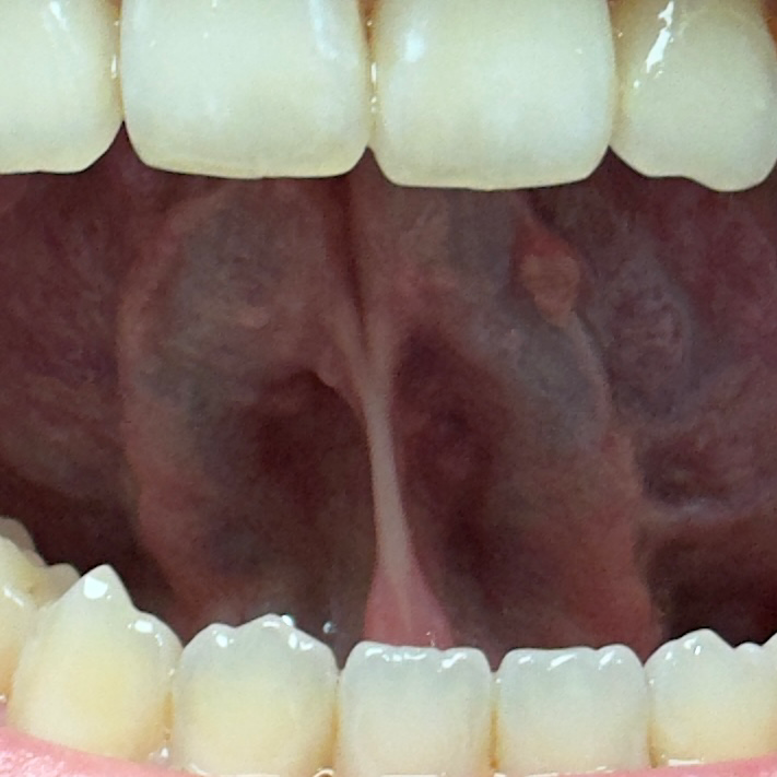
혀 아래 부분에 돌기?뾰루지?같은게 있어요

성별
남성
나이대
30



안녕하세요

혀 아래 부분에 돌기나 뾰루지 같은게 많이 있어요.

병원에 내원해야 하는 질병인가요??

아니면 경과 지켜보면 되는 걸까요?

  • 1번 째 사진
  • 2번 째 사진
1개의 답변이 있어요!
  • 안녕하세요. 신성현 의사입니다.

    특별히 병적인 상태로 보이지는 않습니다. 점차 모양이나 크기의 변화가 저명하다면 이비인후과나 구강전문의를 방문해보시기 바랍니다.