아하
  • 토픽

  • 스파링

  • 잉크

  • 미션


의료상담

똥깽이

똥깽이

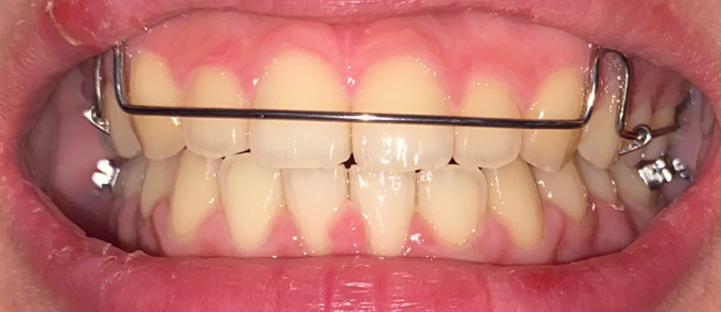
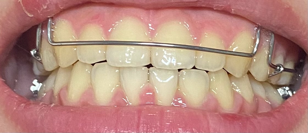
치아가 누런 편인 거 같아 고민인데 많이 누런편인가요?



교정기를 떼니까 갑자기 확 누래보이더라구요,, 충격먹어서 미백치료 할까말까 고민중인데 시중에 파는 그런거는 효과 없다고 하고,, 많이 누런편인가요? 위는 후레시 켜고 찍은거고 아래는 일반조명 아래에서 찍은거에요 다른 사람들 이랑 비교할 수가 없으니 어떤지를 모르겠네요




  • 1번 째 사진
  • 2번 째 사진

4개의 답변이 있어요!

  • 김철진 치과의사

    김철진 치과의사

    가까운우리치과

    안녕하세요. 김철진 치과의사입니다.

    저정도면 치아가 많이 누렇게 보이진 않습니다. 연예인처럼 하얗게 보이는 치아는 사실 자연적으로 나오는건 아닙니다.

  • 안녕하세요. 안상우 치과의사입니다.

    치아는 원래 약간 아이보리 색을 띠고 있습니다.

    치아 색이 노란게 느끼는 정도는 개인적인 심미 기준에 따라 다르기 때문에 사람마다 다르게 느껴질 수 있지만 사진으로 보이는 치아는 크게 어두워 보이지 않는 것으로 보입니다.

  • 안녕하세요. 김지훈 치과의사입니다.

    약간 착색되어 보이긴 합니다만 심각한 정도는 아닌 것 같으며 신경쓰인다면 미백치료 받으셔도 됩니다.

  • 안녕하세요. 최석민 치과의사입니다.

    치아색은 사람마다 다양하나 이 정도면 정상 범주 내의 치아색을 가지고 있다고 판단됩니다 물론 어디까지나 치아색에 대한 본인의 만족 기준이 있을 것이기 때문에 원한다면 미백치료를 진행해도 되나 치아가 시린 부작용이생길 수도 있습니다