아하
  • 토픽

  • 스파링

  • 잉크

  • 미션


의료상담

뉴체어맨 600s 마제스티s

뉴체어맨 600s 마제스티s

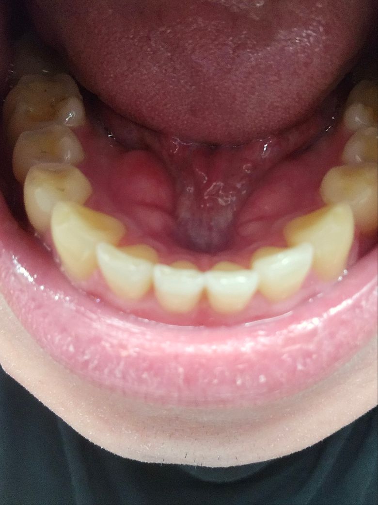
음식을 십을때 가끔 이빨에서 통증이 느껴집니다

제목 그대로 음식을 십을때 가끔 이빨에서 통증이 느껴집니다 이빨에 음식이 끼거나 아니면 고구마 맛탕같은거 먹으면 통증이 느껴지거나 차가운물 마시면 통증이 느껴지는데 충치+신경치료까지 해야되나요??

  • 1번 째 사진
  • 2번 째 사진

5개의 답변이 있어요!

  • 김철진 치과의사

    김철진 치과의사

    가까운우리치과

    안녕하세요. 김철진 치과의사입니다.

    음식을 씹을때만 통증이 잇다면 치아에 금이갓을 가능성이 있으니 치과에 가셔서 검진을 한번 받아보시는게 좋을것같습니다.

  • 안녕하세요. 안상우 치과의사입니다.

    사진으로만 봤을 경우에는 큰 충치가 보이지는 않습니다. 하지만 눈에 보이지 않는 부분이나 치아에 금이 갔을 경우에는 음식을 먹을 때 불편감이 느껴지게 되고 통증이 있을 수 있습니다. 정확한 확인을 위해서 치과에서 진료를 받아보는 것을 권해드립니다.

  • 안녕하세요. 송우식 치과의사입니다.

    치아에 통증이 느껴지는 경우 충치나 치아에 크랙이나 마모가 있을 가능성 및 잇몸에 염증이 있을 가능성이 있습니다. 보다 정확한 원인확인을 위해 치과 진료를 받고 확인해보길 권합니다.

    만족스러운 답변되셨으면 합니다.

    평가 감사합니다.

  • 안녕하세요. 최석민 치과의사입니다.

    현재 사진만봐서는 정확히 개별치아의 상태를 알기 어려우나 증상을 보면 치아 크랙의 가능성이 있어보입니다

  • 안녕하세요. 김지훈 치과의사입니다.

    통증의 원인은 다양하게 있을 수 있습니다. 충치가 원인이라면 충치치료만 받으시면 될 것 같습니다.