아핫뉴스실시간 인기검색어
아핫뉴스 화산 이미지
아하

의료상담

성형외과

힘센독수리18
힘센독수리18

임플란트 답변에 대한 질문입니다 !

임플란트는 기존치아와 달리 뼈와 osseointegration으로 결합되어 있는 구조입니다. 즉 만약 임플란트가 움직인다면 상부 구조물인 머리 부분일 가능성이 가장 큽니다. 보통 움직이는 치아는 방사선 사진 상으로 관찰이 됩니다. 즉 임플란트와 그 옆에 치아를 촬영했을 때 방사선 사진으로 동요도가 있을지 어느정도 예상이 가능하기 때문에 관련 의료기관 의료진을 신뢰하지 않는다면 방사선 사진을 다른 의료기관에 문의해보시는 것도 도움이 됩니다.

아무쪼록 저의 답변이 문제 해결에 작게 나마 도움이 될 수 있기를 기원드립니다. 항상 건강하고, 행복하세요^^

정진석 치과의사 드림

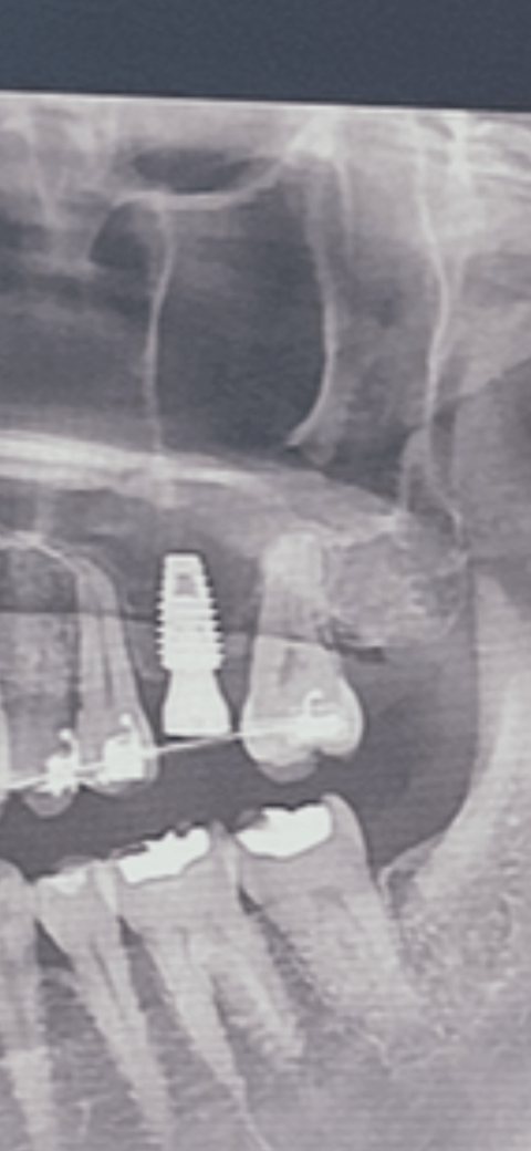
-> 제 방사선 사진 저번에도 올려드렸었는데 상부 좌측 임플란트입니다. 저번에 말씀해주셨을때 치아에 이상 없음, 임플란트 방사선 투과성이 보이나 각도에 떠라 다를수있다고 해주셨는데 이 사진으로 흔들림을 볼 수있나요?

사진으로 보았을때 임플란트 끝 나사가 처음보다 내려와있는건가요? 그리고 머리 지점이 크라운과 맞닿는 부분인가요?

  • 1번 째 사진
  • 2번 째 사진
  • 3번 째 사진
1개의 답변이 있어요!
  • 밝은담비81
    밝은담비81

    안녕하세요? 아하(Aha) 의료 분야 지식답변자 이정현 의사입니다.
    질문하신 내용에 대하여 아래와 같이 답변 드립니다.

    이 사진만으로는 확실하게 뼈가 녹았다는점을 말씀드릴 순 없습니다.

    때문에, 사진만으로는 임플란트가 흔들릴 것이라 라는점을 알 수 는 없습니다.

    물론, 뼈가 많이 녹은게 확실하다 라고 확신할 수 있을 정도로 사진으로 명확히 보일 때 도있습니다.

    하지만, 올려주신 사진의 경우는 이에 해당되지 않습니다.

    임상적으로 구강내를 검사해야 확실히 알 수 있습니다.

    답변이 도움이 되길바랍니다. 감사합니다.