아핫뉴스실시간 인기검색어
아핫뉴스 화산 이미지
아하

의료상담

치과

매너있는쿠스쿠스269
매너있는쿠스쿠스269

레진 빌드업 치료후 자고나서 치아 사이에 피고름이 생겼어요..

1주일 전 레진 빌드업을 받고 지금까지 미세하게 얼얼한 느낌은 들었는데 어제부터 자고 일어났을때 치료했던 두 치아 사이에 피고름이 있더라구요. 피고름은 냄새는

없고 빨간 젤리같은 느낌이였습니다. 병원에서는 통증이 심하지 않고 악취가 없으니 그냥 잇몸문제라고 치실하고 가글 잘 하라는데 걱정이 되서요.

레진 빌드업 할때 치수 노출이 있어 신경 절단과 세라칼 도포도 있었습니다

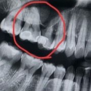
치료후 6일후 찍은 엑스레이 사진인데 혹시 뿌리 쪽에 염증이나 다른 문제가 있나 궁금합니다.

  • 1번 째 사진
  • 2번 째 사진
55글자 더 채워주세요.
3개의 답변이 있어요!
  • 안녕하세요. 김철진 치과의사입니다.

    사진에 보이는 혈병은 잇몸에서 출혈이 발생한거 같습니다. 아마 그부위에 잇몸에 염증떄문에 잇몸에 피가 난게 아닐까 생각됩니다.

  • 안녕하세요. 김지훈 치과의사입니다.


    치료후 6일후 찍은 엑스레이 사진인데 혹시 뿌리 쪽에 염증이나 다른 문제가 있나 궁금합니다.

    -> 사진에는 크게 문제는 없어보입니다.

  • 안녕하세요. 송우식 치과의사입니다.

    뿌리쪽 염증이 아니라 단순 잇몸 염증으로 인해 피가 나온 것으로 보입니다. 신경절단한 것이 문제가 있다면 심한 통증이 옵니다.

PC용 아하 앱 설치 권유 팝업 이미지장도연이 추천하는 아하! 앱으로 편리하게 사용해 보세요.
starbucks
앱 설치하고 미션 완료하면 커피 기프티콘을 드려요!