아하
  • 토픽

  • 스파링

  • 잉크

  • 미션


의료상담

보통은확신있는냉동삼겹살

보통은확신있는냉동삼겹살

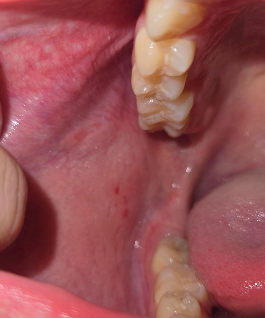
입 안쪽에서 허물 같은 것이 나옵니다.

최근에 입안에서 하얀 허물이 벗겨져서 나오고 입안을 부풀었다가 입안에 있는 공기를 내불면 하얀 가루 같은 것들이 나옵니다. 그리고 입안 볼 쪽에 하얀 허물 덩어리들도 붙어있을 때도 있습니다. 입안도 헌 것 같은데 어떻게 대처해야 하나요? 그리고 왜 하얀 허물 같은 게 왜 생기는 거죠?

  • 1번 째 사진

5개의 답변이 있어요!

  • 김지훈 치과의사

    김지훈 치과의사

    메가

    안녕하세요. 김지훈 치과의사입니다.

    면역력이 떨어지거나 영양소의 결핍으로 인하여 상피세포가 탈락하여 하얀색 막이 떨어질 수 있습니다.

  • 안녕하세요. 정진석 치과의사입니다.

    해당 부분이 구내염 등의 구강 내 연조직 질환인지, 입안이 건조해서 나타나는 증상인지 혹은 치아 등에 의해서 볼쪽 점막이 손상되었는지 등에 대한 정확한 감별이 필요합니다. 지금으로서는 해당 부분에 대한 정확한 진단이 선행되어야 합니다. 단순 구내염이나 일시적으로 치아로 인한 손상이라면 수일이나 수주 이내에 회복됩니다.

    아무쪼록 저의 답변이 문제 해결에 작게 나마 도움이 될 수 있기를 기원드립니다. 항상 건강하고, 행복하세요^^

  • 안녕하세요. 김철진 치과의사입니다.

    볼살이 치아에 씹히면서 볼살 표피가 벗겨지는거 같습니다. 볼살이 치아에 씹히지 않도록 조심하시면될것같습니다.

  • 안녕하세요. 안상우 치과의사입니다.

    구강내 연조직이 외부자극을 받게 되면 허물이 벗겨지거나 할수 있습니다. 면역력이 떨어진 경우에도 생길수 있으니 충분한 휴식을 취해주는것이 도움이 될수 있습니다.

    자세한 확인을 위해서 치과에서 진료를 받아 보세요.

  • 안녕하세요. 최석민 치과의사입니다.

    사진상으론 명확히 알기 어려우나 증상을 보면 곰팡이, 세균 감염이 의심됩니다 치과가서 항생제 처방이 필요할지 상담받아보시기 바랍니다

    평소 물 조금씩 자주 섭취하세요