아하
  • 토픽

  • 스파링

  • 잉크

  • 미션


의료상담

한결같이굉장한두루치기

한결같이굉장한두루치기

초음파 사진에 나온 이거 지방종 맞을까요?

성별

남성

나이대

20대

기저질환

건선관절염

복용중인 약

휴미라

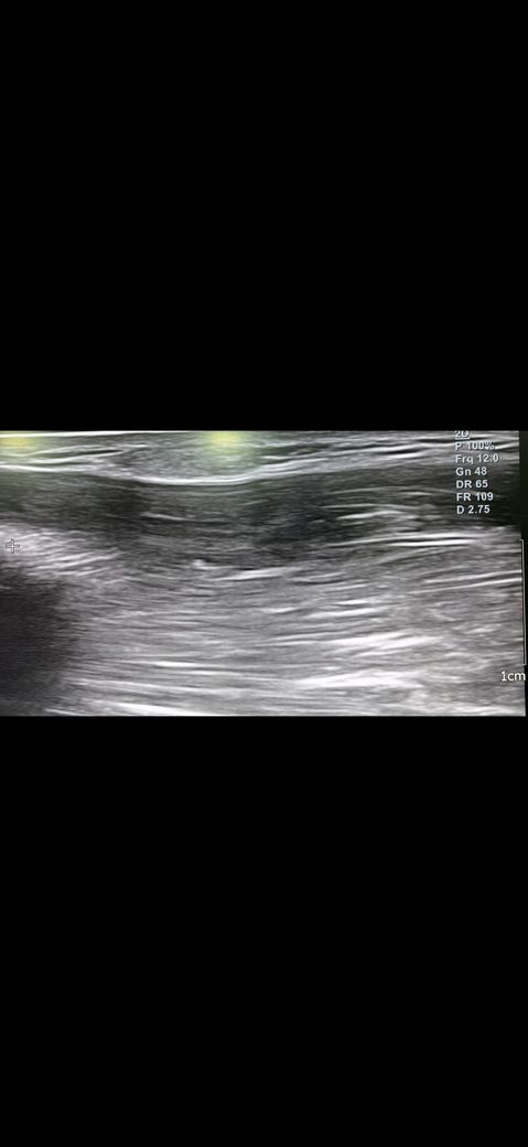
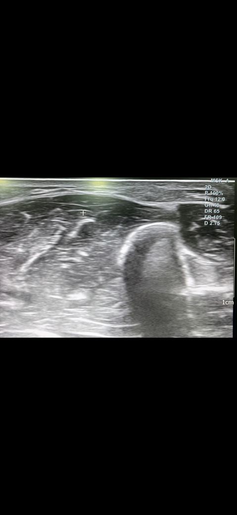
예전에 병원에서 팔에 동글동글하게 두 군데 정도 뭐가 만져지길래 초음파 사진을 찍고왔습니다.

해당 병원에서는 지방종같다고 하셨는데 생긴지 3년은 지난 것 같은데 계속 신경쓰이고 걱정이 되는데 사진의 종양이 지방종이 맞을까요?

제가 자가면역질환으로 휴미라라는 주사를 맞고 있는데 그거 부작용인가 하는 의심도 드네요..

  • 1번 째 사진
  • 2번 째 사진
  • 3번 째 사진

1개의 답변이 있어요!

  • 이영민 의사

    이영민 의사

    서울아산병원

    안녕하세요. 이영민 의사입니다.

    일단 초음파 사진 설명에 앞서서 질문자님께서 올려주신 글에 의하면 팔에 나 있는 몽우리가 3년째 크기가 변하지 않고 특별한 증상이 없다고 하면 악성 종양이 아닌 양성 종양(지방종)일 가능성이 좀 더 높아 보입니다.

    초음파의 경우 정확한 진단보다는 양성 내지 악성 양상을 보는 검사 중 하나라고 생각해 주시면 좋고, 보통은 지방종의 경우 균질하고 경계가 명확한 모양을 띠고 있어, 질문자님의 사진상으로 볼 때에는 지방종일 가능성이 있겠습니다. 휴미라의 부작용으로 지방종을 유추하기에는 아직까지 연구된 부분이 없어서 부작용으로 보기에는 어려울 것으로 사료됩니다.

    최근에 크기가 점점 커지거나 임상적인 증상이 있으셨다면 다만 악성 여부를 다시 확인해야 할 수 있어 조직 검사등을 시행하기 위해 근처 외과에 방문하셔서 의사의 진찰을 받으시기 바랍니다.

    감사합니다.