아하
  • 토픽

  • 스파링

  • 잉크

  • 미션


의료상담

설월화

설월화

24.05.21

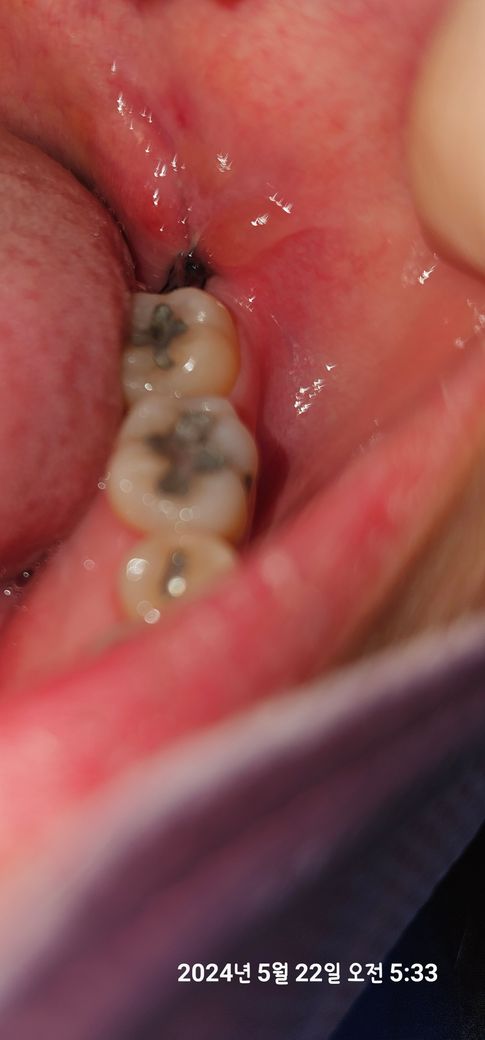
사랑니 발치 후 피덩어리? 그게 무조건 있어야하나요?

그게 있어야 회복도 잘 되고 드라이소켓도 안 온다더라구요

잘은 안 보이는데 실이 검은색인지 몰라도 실들만 보이는 것 같아서요

화요일 (어제) 오후 4:50분쯤 뽑았고 거즈 2시간 물고 있다 빼고 피가 아직 나길래 20분가량 더 물고 있었어요

치과 가기 전에 타이레놀 하나 먹었고

거즈빼고 약 하나 먹고 잤었어요

안 아파서 다행이다 했는데 지금 살살~ 아프더라고요

약빨이 떨어진 건지...ㅎㅎ

이게 맞나요?

매복은 아니었고 그냥 마취하고 흔들흔들~바로 빡 뽑았어요 뿌리까지 잘 뽑혔다고 했구요

드라이소켓은 어~~~~~엄청 아프다는데 그냥 사랑니 잇몸에 염증나서 아팠을 때와 비슷한 통증이에요

약 먹을까? 아 괜찮아지려나? 아 약 먹을까? 거슬리네 이런 수준입니다.

집 와서 자세히 보니 제가 느끼기에는 혈전?은 크게 안 보이고 실밥으로 꿰매진 것만 잘 보여요 검은 실로

  • 1번 째 사진

4개의 답변이 있어요!

  • 정진석 치과의사

    정진석 치과의사

    대학병원 통합치의학전문의

    24.05.22

    발치 이후에 초기에는 혈병이 있으나 시간이 지나면서 혈병이 사라지고 섬유화 과정을 거칩니다. 현재 사진에서는 정확히 보이지 않아 판단이 어려우나 드라이소켓이라면 단순히 아픈 정도가 상상을 초월합니다. 따라서 대부분 이러한 통증이 아니라면 정상적인 회복으로 보시는 것이 맞으나 너무 걱정이 되신다면 발치한 치과를 방문하여 검사를 하는 것이 좋습니다.

    아무쪼록 저의 답변이 문제 해결에 작게 나마 도움이 될 수 있기를 기원드립니다. 항상 건강하고, 행복하세요^^

    정진석 치과의사 드림

  • 사랑니를 뽑고 나서는 발치한 부위에 혈병이 있는 것이 좋습니다.

    이 혈병의 제거가 되면 내부에 출현이 될 수 있고 치유가 늦어질 수 있기 때문입니다.

    드라이 소켓이 생겼을 경우 해당 부위에서 심한 악취가 나고 통증이 심하기 때문에 악취가 나지 않고 통증이 심하지 않다면 드라이 소켓이 아닐 가능성이 높습니다.

    자세한 원인을 위해서 치과에서 진료를 받아 보는 것을 권유 드립니다.

  • 안녕하세요 치과의사 김철진입니다. 사랑니 발치를 하고나서 지혈만 잘되셧다면 크게 신경쓰지 않으셔도 됩니다. 드라이 소켓은 아닌거 같으니 너무 걱정하지마세요.

  • 보통 발치 후 생기는 피떡(혈전)은 24~48시간 내 잇몸 치유를 위한 물질들로 바뀌게 됩니다 발치 후 주의사항을 잘 지켰다면 큰 문제는 없을 것입니다