아하
  • 토픽

  • 스파링

  • 잉크

  • 미션


의료상담

탁월한날다람쥐42

탁월한날다람쥐42

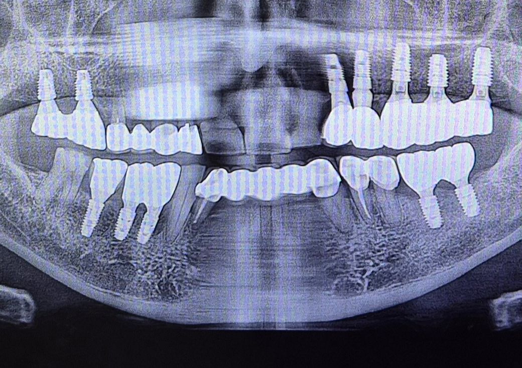
어금니 쪽 한번 봐주실 수 있나요? 임플란트 해야될지..

병원에서 사진을 찍었는데 크라운을 하자고 하셨거든요.

근데 크라운 비용이 좀 쎄길래

다른 병원 두군데 정도 가보니 임플란트해야된다구. 어금니 밑에가 충치가 있는데 다 썪었다고 크라운으로 해봤자 계속 아플거라고 하시는데

누구 말이 맞는지 잘 모르겠어요. ㅠㅠ

치아는 가능함 쓸 수 있는 만큼 써야된다고들 하니까 크라운을 하는게 나을 거 같은데

다른 곳은 임플란트를 해야된다고 하고..

그래서 사진 첨부해봅니다. 이걸로 알 수는 없겠지만.. 저보다는 더 많은 걸 아실테니 한번 올려봅니다.

(엄마가 의사분이 잇몸???을 뭐 보여줬나봐요.

그랬더니 새카맣게 반 정도 썪었다고 하시던데

그게 잇몸속에 뿌리부분을 볼 수가 있나요??;;)

  • 1번 째 사진

5개의 답변이 있어요!

  • 정진석 치과의사

    정진석 치과의사

    대학병원 통합치의학전문의

    안녕하세요. 정진석 치과의사입니다.

    해당 부분을 크라운 치료를 해도 예후가 좋지 않을 가능성은 높아 보입니다. 즉 추후에 임플란트 등으로 넘어갈 가능성이 커 보입니다. 다만 시간이 걸리더라도 자연치를 살려서 쓸 방법이 있다면 우선적으로 살려서 크라운을 해보고 그래도 증상이 호전되지 않거나 문제가 된다면 임플란트로 넘어가는 것이 좋아 보입니다.

    아무쪼록 저의 답변이 문제 해결에 작게 나마 도움이 될 수 있기를 기원드립니다. 항상 건강하고, 행복하세요^^

  • 안녕하세요. 김철진 치과의사입니다.

    사진상으로는 잇몸뼈가 크게 나쁘진 않은거 같으니 최대한 사용할때까지 사용하시고 추후에 문제가 생기면 그떄 치료를 하셔도 될것같습니다.

  • 안녕하세요. 김지훈 치과의사입니다.

    해당 사진 외에 치아만 나오는 사진이 있어야 할 듯 싶습니다. 크라운 내부 뿌리까지 충치가 있으면 임플란트 하시는 게 낫습니다.

  • 안녕하세요. 안상우 치과의사입니다.

    보철치료를 하고 난뒤에 10년이상 사용할수 있다면 치아를 살려서 사용하는것이 좋습니다.

    하지만 10년이상 사용하지 못한다면 임플란트 치료를 하는것이 좋을 수 있습니다.자세한 환인을 위해서 치과에서 진료를 받아보세요

  • 안녕하세요. 송우식 치과의사입니다.

    우선은 자연치아를 살릴수 있는 방법이 있는 경우에는 신경치료를 하고, 크라운을 씌워서 사용을 하다가 만약 지속적으로 통증 및 불편감이 나타나면 발치하고, 임플란트를 하는 것을 권합니다.

    만족스러운 답변되셨으면 합니다.

    <평가> 감사합니다.