아핫뉴스실시간 인기검색어
아핫뉴스 화산 이미지
화산 아이콘 11
정청래 조국혁신당 합당 제안
아하

의료상담

치과

많이정이넘치는천사
많이정이넘치는천사

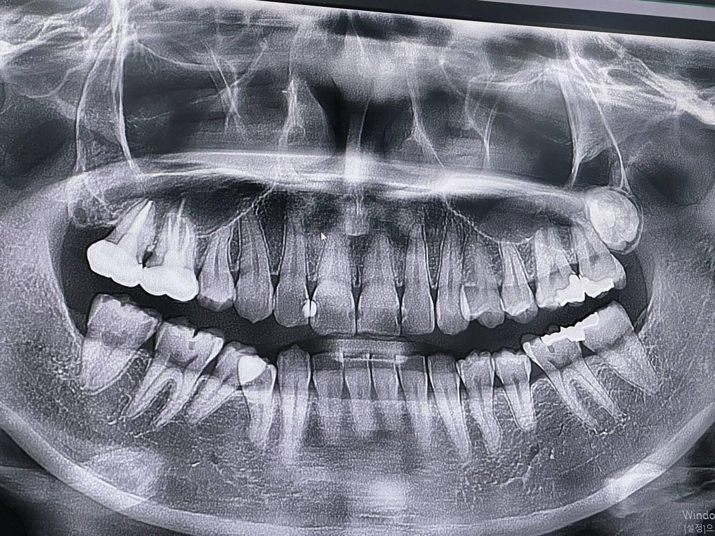
어금니쪽 크라운치료 필요여부에 대해 문의드립니다

인접면에 충치있다고 해서 치료 받았는데 크라운으로 하는게 맞나요?

사진상으로 왼쪽 아해 부분 크라운과

오른쪽 뒤에서 두번째 치아와 위쪽 치아 크라운 치료를 하는 게 맞는지 확인하고 싶습니다

어금니쪽은 치간 사이를 인레인으로 하기 어려운가요?

  • 1번 째 사진
2개의 답변이 있어요!
  • 안녕하세요. 안상우 치과의사입니다.

    사진으로 봤을 경우 인접면에 충치가 있는것으로 보입니다 인접면의 충치가 크게 생겼을 경우에는 크라운 치료를 하는것이 좋습니다.

    자세한 확인을 위해서 치과에서 진료를 받아보는 것을 권유드립니다.

  • 안녕하세요. 최석민 치과의사입니다.

    1. 치근단 사진 없이 파노라마 사진가지고 인접면 충치에 대한 진단을 정확히 하는 것은 무리가 있고요.

    2. 질문자분이 생각하시는 것처럼, 굳이 인레이가 되는데 크라운을 하는 것은 아닌가?에 대한 판단 역시 치과의사마다 각각의 판단기준이 있기 때문에 뭐라 조언하기가 어렵네요.

    3. 일반적으로, 3면이상의 인레이를 하는 경우(MOD인레이 등..)는 예후가 불량하여 금방 망가지거나, 치아에도 안좋을 수 있어서 크라운이나 온레이를 하자고 권합니다.

    4. 어금니 치간 사이 인레이라고 언급주신 부분은 2급 인레이(옆면+씹는면)인데, 인레이 주된 치료가 그거입니다. 지금도 사진상 왼쪽 위, 아래 2급 인레이를 하신거고요