아핫뉴스실시간 인기검색어
아핫뉴스 화산 이미지
아하

의료상담

치과

위대한망둥어96
위대한망둥어96

충치 치료에 대한 방향성이 고민입니다

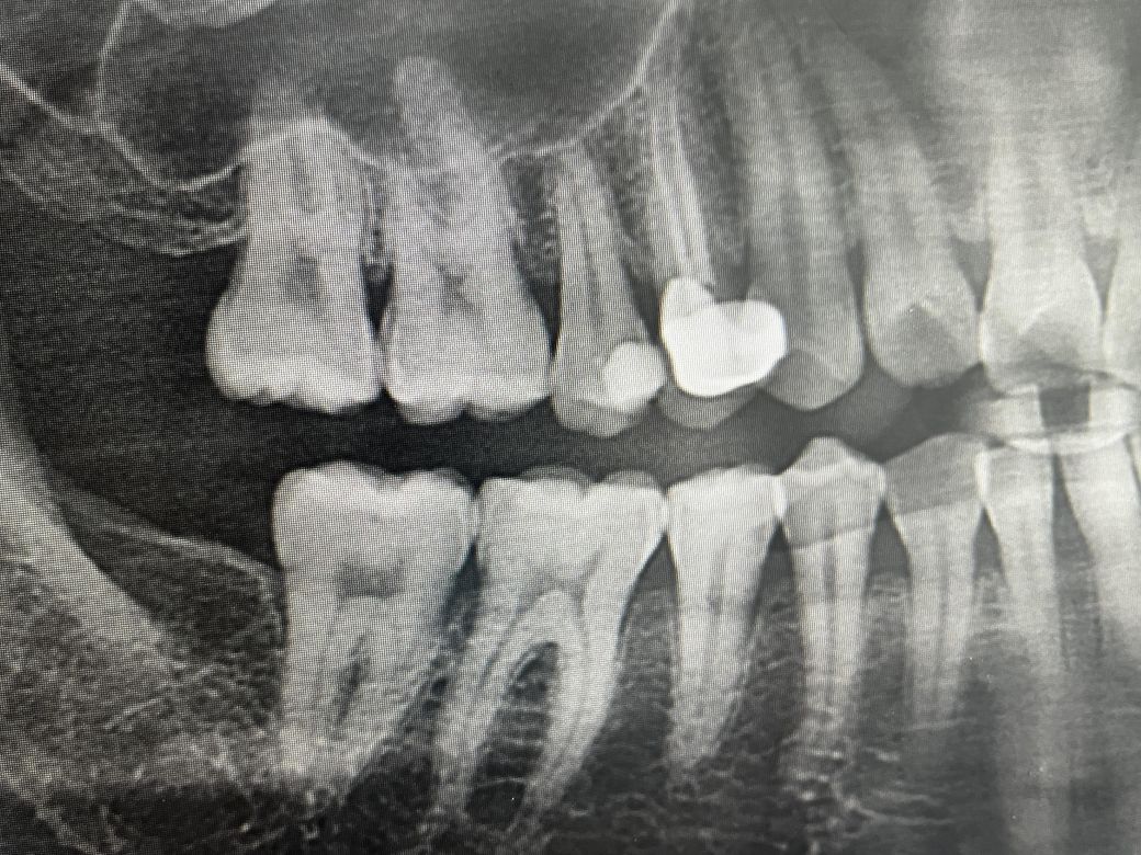
15번인데 현재 gi로 채웠습니다

물론 원하는건 이맥스 인레이인데

신경치료를 해야할까요?

만약 신경치료를 한다면 포스트가 필요할까요?

  • 1번 째 사진
  • 2번 째 사진
5개의 답변이 있어요!
  • 안녕하세요. 김지훈 치과의사입니다.

    증상이 있으시면 신경치료 하시면 되고 아니면 인레이 하시면 됩니다. 사진 상 포스트는 꼭 필요해보이지는 않습니다.

  • 탈퇴한 사용자
    탈퇴한 사용자

    안녕하세요. 김형준 치과의사입니다.


    화질이 선명하지 않아 영상으로는 정확한 결정을 내리기 어려우며 신경치료 여부는

    전기 치수 생활력 검사, 와동검사,

    타진 반응, 교합 테스트, 냉반응 등 여러 가지를 종합해서 판단해야 합니다.

    신경치료를 하면 통증과 심림증은 없어질 수 있으나 치아의 수명이 짧아지는 단점이 있습니다.

    해당 치아를 신경치료로 할 경우 포스트까지는 하지 않아도 될 것으로 보입니다.

  • 안녕하세요. 김철진 치과의사입니다.

    신경치료를 하게되면 포스트가 필요 할꺼 같습니다. 시리지 않으면 일단 인레이로 마무리 하시고 시리거나 이멕스 인레이를 하고 나서도 불편하시면 신경치료를 해야될 가능성이 있습니다.

  • 안녕하세요. 최석민 치과의사입니다.

    충치가 워낙 깊기 때문에 신경치료의 필요성을 배제할 순 없겠습니다만 현재 증상이 괜찮다면 굳이 신경치료를 서둘러 할 필요까지는 없어보입니다.

    치질(남은 치아의 양)이 아주 충분하진 않지만 그래도 한쪽면을 제외하고 나머지는 건전한 치질이므로 굳이 포스트까지는 하지 않아도 괜찮을 것 같습니다.

  • 안녕하세요. 안상우 치과의사입니다.

    포스트는 지하에 4분의 3 정도가 없어졌을 경우에 하는 경우가 많습니다.

    사진으로만 봤을 경우에는 포스트가 필요하지 않을 것으로 보이나 충치를 추가적으로 제거하고 난 다음에 치아에 머리 부분이 너무 작다면 포스트를 해야 하는 경우도 생길 수 있습니다.

    자세한 확인을 위해서 치과 병원에서 진료를 받아 보세요