아핫뉴스실시간 인기검색어
아핫뉴스 화산 이미지
화산 아이콘 11
비트코인 장기 보유자 매도
아하

의료상담

치과

Pnk
Pnk

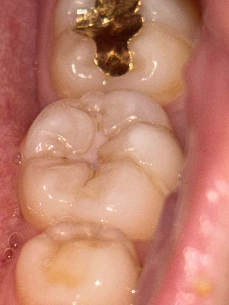
이거 충치일까요? (아랫턱 통증도 있음)

첫 번째 사진 체크한 부분에 통증이 있거든요 씹을 때 더 심해지거나 그런건 없고 가만히 있어도 약간 통증이 있습니다 그리고 그부분 이빨을 보니 까맣게 점이 보이더라구요 ㅠ 하얗게 채워뒀던 것도 좀 닳은 느낌이구여... 혹시 저게 충치인지 궁금합니다.

그리고 제가 이를 좀 세게 무는 버릇이 있어서 통증이 있는 건지... 충치 때문인지도 궁금해요





  • 1번 째 사진
  • 2번 째 사진
4개의 답변이 있어요!
  • 안녕하세요. 김지훈 치과의사입니다.

    사진상 검은 점들은 단순 착색일 가능성이 높아보이지만 수복물 내부에 충치가 생기기도 하니 치과에서 검사를 해보시는 게 좋겠습니다.

  • 안녕하세요. 김철진 치과의사입니다.

    엑스레이를 찍어봐야 알수 잇겟지만 안쪽으로 충치가 잇을것같습니다. 치과에 가셔서 엑스레이 사진을 찍고 검진을 받아보시는게 좋을것같습니다.

  • 안녕하세요. 송우식 치과의사입니다.

    현재 충치가 발생한 것으로 보이기에 치과에 방문하여 치료가 필요로 되며, 이를 악무는 습관이 있는 경우 턱관절에 무리가 가서 턱에 통증이 유발될수 있습니다.

    궁금증 해소에 도움이 되시길 바라며, 도움이 되신 경우 '추천' 부탁드립니다.

  • 안녕하세요. 안상우 치과의사입니다.

    사진으로만 봤을 경우에는 충치의 정도를 판단하기 힘들어 보입니다 자세한 확인을 위해서는 방사선 사진 등의 추가적인 자료가 필요할 것으로 생각됩니다 정확한 확인을 위해서 치과에서 진료를 받아 보는 것을 권해드립니다