홈
토픽
스파링
잉크
미션
전문가 신청
베리몰
나도 질문하기
의료상담
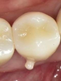
겁나촉촉한포도
지르코니아크라운 하악 뒤에서
두번째 큰 어금니구요
(여기는 테스트기간 없이 바로 크라운 붙이더라구요)
저는 테스트 기간을 부탁드렸는데
고리없이 임시 접착 해주신다고해서요
고리 없이 크라운 임시부착한거를 2주 뒤에 떼어낼 수 있나요?
사진 보기
1개의 답변이 있어요!
전택근 치과의사
구강악안면외과 전문의
∙
안녕하세요. 전택근 치과의사입니다.
임시접착용 시멘트는 고리가 없더라도 비교적 간단하게 제거가 가능합니다. 임시 접착용 시멘트가 일반적으로 사용하는 임시 시멘트라면 큰 걱정 안하셔도될 것으로 사료됩니다.
감사합니다.
*본 답변은 환자분의 말씀에 의거한 답변으로 다니시는 치과의원 또는 근처 치과 등 내원하셔서 정밀검진을 요합니다.
5.0 (1)
응원하기