아하
  • 토픽

  • 스파링

  • 잉크

  • 미션


의료상담

언제나공부하는신사

언제나공부하는신사

채택률 높음

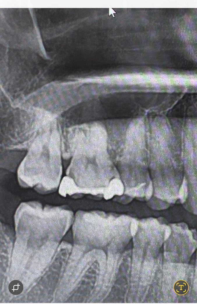
골드인레이 2차충치일까요? 궁금합니다

치과에 갔는데 아무리봐도 충치같은데 괜찮다고 아프면 오라고 하셔서 궁금해 올려봅니다...

통증은 없는거같아요 가끔 잇몸이 아픈거 빼면...

  • 1번 째 사진
  • 2번 째 사진

1개의 답변이 있어요!

  • 최석민 치과의사

    최석민 치과의사

    강원도 원주의료원

    안녕하세요. 최석민 치과의사입니다.

    엑스레이상으론 이차충치 맞을 것 같습니다 본딩갭(bonding gap)으로 보기에는 엑스레이상 검은 부분이 다소 뚜렷하네요

    채택된 답변