아하
  • 토픽

  • 스파링

  • 잉크

  • 미션


의료상담

쿨한스라소니17

쿨한스라소니17

현재 인후염/편도염/코로나 초기인가요?

성별

남성

나이대

23

현재 증상 미열, 두통, 설사, 피로, 근육통

제가 특이체질?이라 편도염이 아무리 심하게 와도 열만나고 통증?은 없어요

열나서 병원가보면 의사선생님이 놀라면서 편도염 심하다고 입원도 하고 그러거든요...(전날까지 떡볶이, 라면 등등 흡입)

그래도 자극적인거만 피하면 괜찮다고 먹고 싶은거 먹어도 된다고 하셔서 항상 그냥 밥먹든요 ㅋㅋ...

(편도가 양쪽다 통통 붓고 염증껴도 감각이 없어요)

만성은 아니고 1년에 한번 정도 편도염 오는거 같아요.

대신 한번 오면 임파선도 많이 붓고 좀 강하게 오는거 같아요

아니면 단순히 최근에 바빠서 잠을 못자서 피로한건지 햇갈려요

병원을 가야하나 말아야 하나 애매하고 편도에 노랑색 염증이 보이는것도 아니고...

그냥 감기일까요?

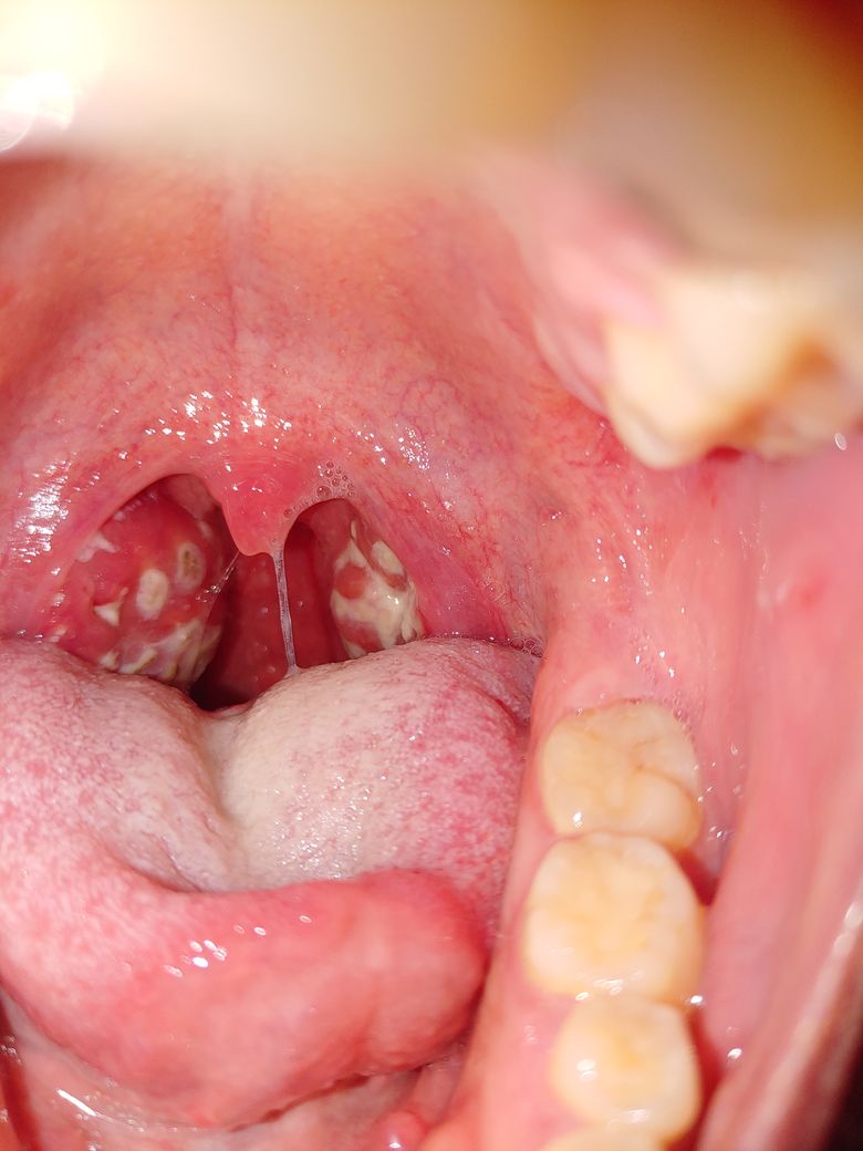
+아래 사진은 올해초 편도염이 심하게 왔을때에요

이때도 통증은 없었고 열만 났어요.

  • 1번 째 사진
  • 2번 째 사진

3개의 답변이 있어요!

  • 서민석 의사

    서민석 의사

    가톨릭대학교 인천성모병원 가정의학과

    안녕하세요. 서민석 의사입니다.

    사진만 보면 지금은 편도염이 심한것은 아닙니다. 집에서 소염진통제 정도만 드시면서 지켜보셔도 될것 같습니다.

  • 안녕하세요. 아하(Aha) 의료분야 답변자 외과 전문의 배병제입니다.

    과거 사진에서와 달리 현재는 편도염이 두드러지지 않는 상황이며 인두염이 의심되는 정도입니다. 호흡기 감염증 증상이 코로나 바이러스 감염증과 거의 유사하므로 확인하고자 하신다면 자가진단키트를 사용해보시거나 신속항원검사를 받아보시는 것이 가장 정확하겠습니다.

    저의 답변이 도움이 되셨길 바랍니다.

  • 안녕하세요. 진호성 의사입니다.

    뚜렷한 편도염은 관찰되지 않는 상태이며, 아마도 감기가 아닐까 추정이 됩니다. 증상만으로 감기, 독감, 코로나를 구분할 수 없으면 필요 시 PCR검사를 하게 됩니다.

    병원에 내원하셔서 적절한 진료와 치료를 받는 것을 권유드립니다. 답변이 도움되었으면 합니다.