아핫뉴스실시간 인기검색어
아핫뉴스 화산 이미지
아하

의료상담

치과

눈에띄게완벽한베이컨
눈에띄게완벽한베이컨

사랑니 발치 후 입안 염증이 심해졌어요

목요일에 사랑니를 발치하고 어제부터 입안 염증이 심져서 음식 씹거나 말하는 게 너무 힘듭니다.ㅜ

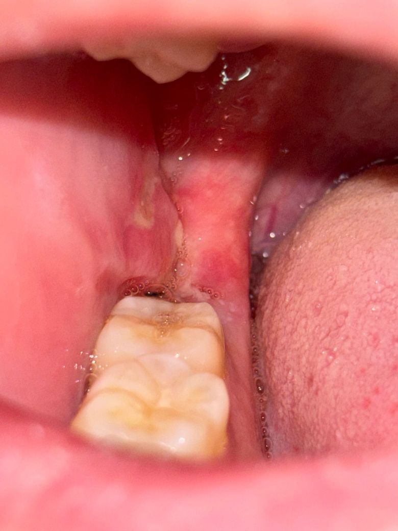
사진상의 흰색부분이 길게 났는데 구내염인건가요? 잇몸이 아프다기보단 뭔갈 씹을 때 계속 저기가 닿아서 아픈 것 같아요

그리고 볼 쪽 살이랑 잇몸 절개부위가 (원랜 저기에 선이 있었습니다) 붙어버린 것처럼 보이는데 괜찮은 걸까요…?? ㅜㅜ

  • 1번 째 사진
3개의 답변이 있어요!
  • 안녕하세요. 김철진 치과의사입니다.

    구내염은 아니고 사랑니 발치를 하면서 잇몸 절개를 한부위 잇몸이 아물면서 생기는 현상입니다. 크게 걱정은 안하셔도 될것같습니다.

  • 안녕하세요. 최석민 치과의사입니다.

    염증 양상이 다소 있긴 합니다만 크게 치유에 문제가 있어보이진 않습니다. 해당 부위 자극가지 않도록 주의해주시기 바랍니다.

  • 안녕하세요. 안상우 치과의사입니다.

    사랑니를 발치하고 나면 발치한 부위에 상처가 생길수 있습니다. 크게 문제가 되는것은 아니며 상처가 난 잇몸은 보통 2주정도 지나면 아물게 됩니다.