아하
  • 토픽

  • 스파링

  • 잉크

  • 미션


청초한물수리94

청초한물수리94

저선량 폐ct 사진 판독좀 해주세요..

성별

남성

나이대

30

기저질환

없음

복용중인 약

없음

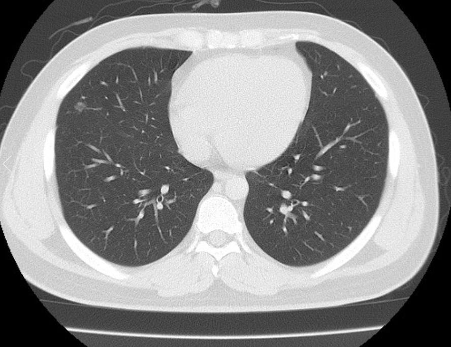
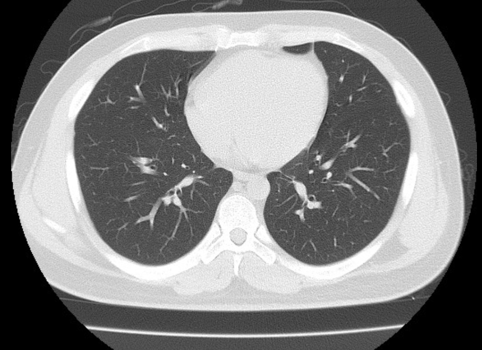
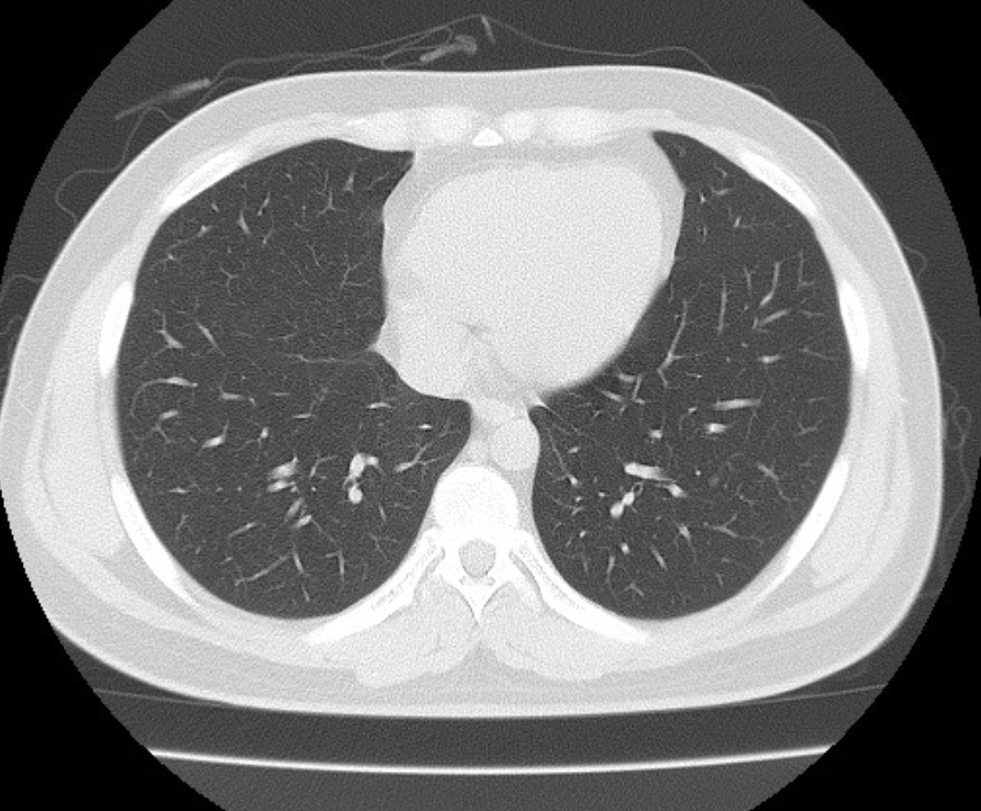
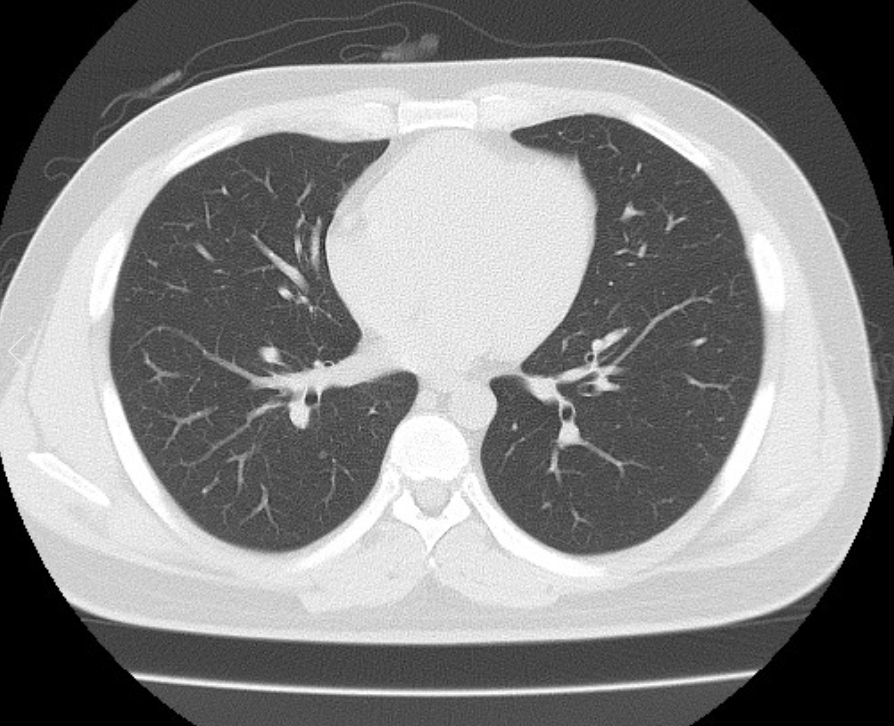
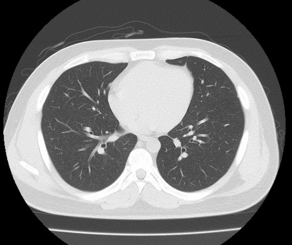
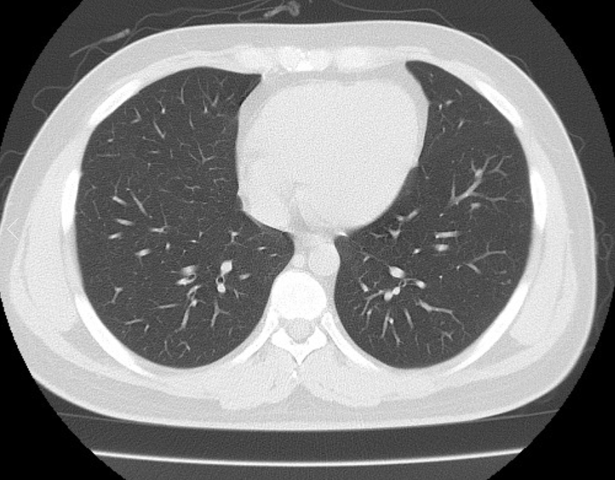
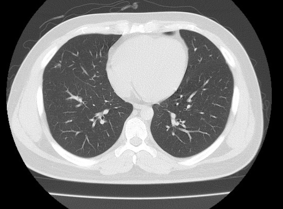
폐ct사진 받았는데 엄청 많더라구요.. 우중엽(40#)에 부분고형결절(6mm, 고형 2mm)결절이 있다고 소견을 받았는데 아래 ct사진 상 위험한 결절로 보이는지 판독좀 부탁드리겠습니다 ㅜㅜ. 다른 사진들 더 많지만 앞뒤 전후로 몇장씩만 가져왔어요..

  • 1번 째 사진
  • 2번 째 사진
  • 3번 째 사진
  • 4번 째 사진
  • 5번 째 사진
  • 6번 째 사진
  • 7번 째 사진

3개의 답변이 있어요!

  • 탈퇴한 사용자

    탈퇴한 사용자

    안녕하세요. 김병관 의사입니다.


    밑에서 3번째 사진 우중엽 (보이기로는 왼쪽에 있는게 오른쪽 폐입니다)

    흐릿하게 보이는 병변이네요


    일반적으로 간유리음영과 결절이 같이 있을때 6mm 이상이면 암일확률이 1~2% 된다고 합니다. 저같으면 6개월후 추적검사를 해볼거 같네요

  • 안녕하세요. 유민혁 의사입니다.


    걱정하지 않으셔도 됩니다.


    고형결절이 1cm 이상으로 커지면 초기암이 된 것으로 판단하게 되지만, 더이상 커지지 않는 경우도 많습니다.


    1년마다 주기적으로 검사만 받으면서 지켜보시면 됩니다.

  • 안녕하세요. 채홍석 의사입니다.

    그러네요 결절이 눈에 보이네요

    환자분이 어느 군에 포함이 되는지 확인을 해보시면 어느 정도 안심을 할 수 있으리라 생각이 됩니다

    해당 소견을 바탕으로 호흡기내과 진료를 받아보세요