홈
토픽
스파링
잉크
미션
전문가 신청
베리몰
나도 질문하기
의료상담
탈퇴한 사용자
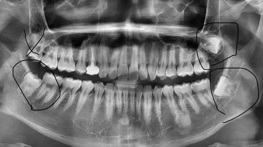
사진에 x표시는 뽑았고 남은 사랑니 3개중에 위에 사랑니는 안 빼도 된다고 합니다 나중에 문제 생기지는 않겠죠? 물혹같은거 생긴다는데 염려증있어서 또 걱정되네요.. 혀로 만져봤을때 위에 사랑니는 도저히 어디에 있는지 모르겠습니다 엄청 깊이 있는건가요..
사진 보기
3개의 답변이 있어요!
안상우 치과의사
목동안치과의원
∙
안녕하세요. 안상우 치과의사입니다.
사랑이의 경우에 매복되어 있고 주변 치아에 문제를 발생시키지 않는다면 매복되어 있는 사랑니는 발치하지 않아도 됩니다. 매우 드문 확률로 낭종 등을 형성할 수 있지만 주기적으로 검진을 받는다면 그런 가능성을 미리 확인할 수 있습니다.
평가
응원하기
김철진 치과의사
가까운우리치과
안녕하세요. 김철진 치과의사입니다.
특별한 문제가 없다면 발치를 안하셔도 됩니다. 아직은 발치를 해야될 상황은 아닌거 같습니다.
1
최석민 치과의사
강원도 원주의료원
안녕하세요. 최석민 치과의사입니다.
네 잇몸뼈 속에 아예 매복되어 있기 때문에 당연히 육안으로나 혀로 만져봤을때 없는것처럼 느껴질 거고요.
빼지 않을 경우 물혹(낭)이 생길 가능성을 아예 배제할 순 없습니다만 또 그렇게 흔하진 않습니다.
6개월~1년 주기로 정기적으로 파노라마 엑스레이 찍으면서 검사해주면 됩니다.