이빨에 반점?/사랑니 관리법 질문(치아사진첨부 주의)
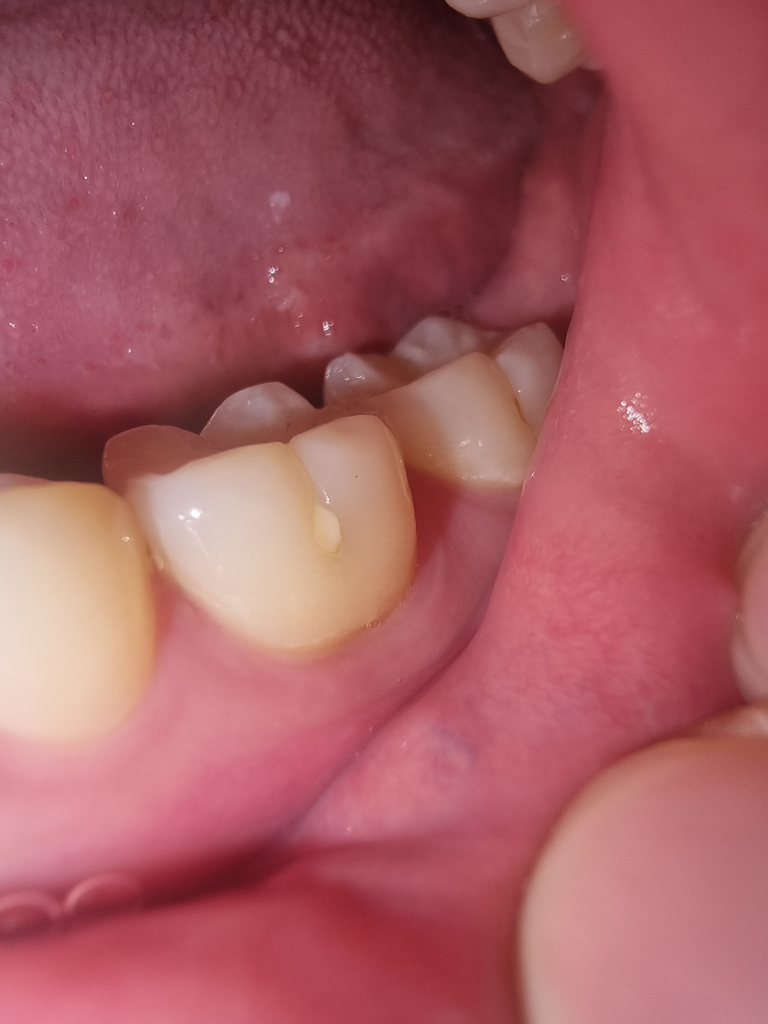
1. 어금니 치아 옆면에 흰색 점이 있습니다. 레진인가 충치인가 모르겠지만 옆면충치치료를 한적이 없는것같기도 하여 뭔가 싶어 여쭙니다.
치석제거용 익스플로러로 살살 건드려보니 치아같지 않은 듯 싶으면서도 경계면에서 툭 걸리기에 확실치 않아 건드리진 않았습니다. - 반점 사진 첨부합니다.
2. 현재 상악 사랑니가 조금 나와있습니다. 상악동? 에 살짝 걸쳐있는지라 치과에서도 빼는걸 어느정도만 추천하고 결정은 저 본인에게 맡겼습니다.
다만 아랫 사랑니가 신경과 얽혀있어 대학병원으로 가라고 해서 관리 잘 하다가 징후가 나타나면 이왕 한번에 위아래를 발치할까 고민중이고 음식물이 끼지 않게 해보려합니다.
보통 2어금니와 사랑니 사이에 아주작은 틈이 있으면 걸려서 안나오는데 다음과 같은 사진은 애초에 너무 넓어보여서 어딜 끼지 않게 해야하는지 애매합니다.
아니면 사랑니-사랑니잇몸 사이 에 음식물이끼나요? 그럼 매번 잇몸을 후벼가며 청소하는게 맞나... 싶기도 하구요
이 사진또한 첨부드립니다.
치과에 내원하는게 가장 빠르고 정확하겠지만 근 몇주동안 갈 상황이 되지 않아 이렇게라도 여쭤봅니다
흰색반점사진
사랑니 맹출 부위사진
안녕하세요. 안상우 치과의사입니다.
하얀점은 이전에 충치가 있던 부위에 치과용 재료로 충전을 한것으로 보입니다.
사랑니는 이제 막 올라오는 중인데 똑바로 나있고 충치가 없다면 뽑지 않아도 됩니다.
안녕하세요. 김철진 치과의사입니다.
사진에 보이는 반점은 예전에 치료를 하신거 같습니다. 치아색 나는 재료가 아닌 gi라는 보험재료로 치료를 하신거 같습니다. 그리고 사랑니는 약간 맹출된거 같은데 아래 사랑니를 뽑으실 예정이라면 위아래 그냥 같이 뽑으시는게 좋을것같습니다.

