의료상담

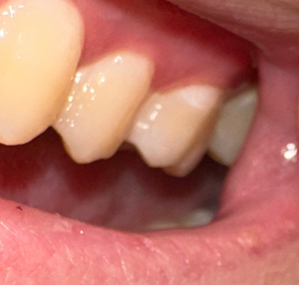
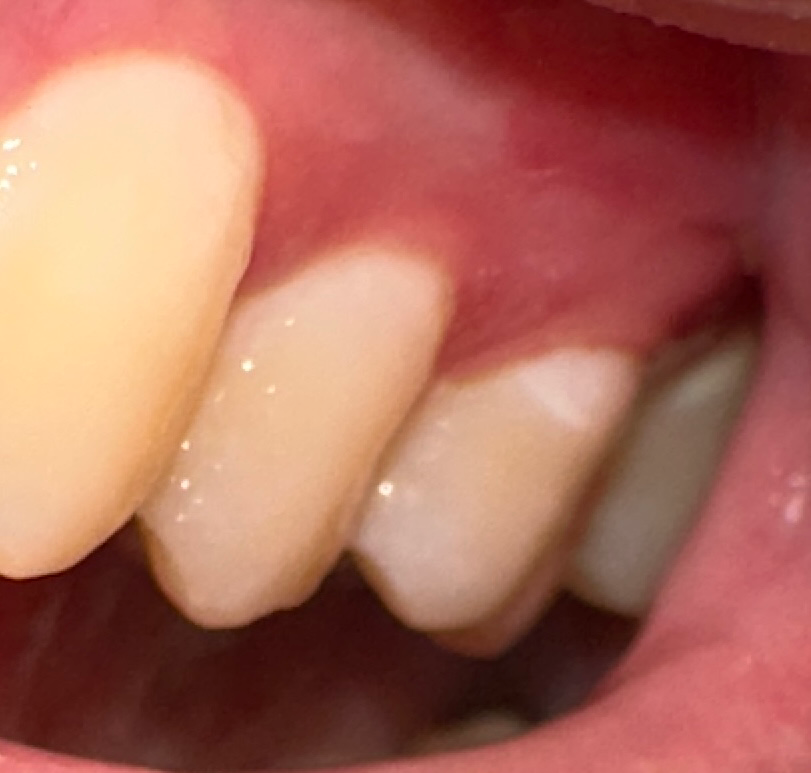
이에 이 하얀거 충치인가요 아님 그 반점치인가요?



반점치먄 꼭 치료를 받아야하나요? 통증은 없습니다 ..................................



하얀충치인가요? 양치 잘하는데...쩝... 치료 안받고 사용할수 있는지 그것도 궁금합니당



  • 1번 째 사진
  • 2번 째 사진
  • 3번 째 사진

1개의 답변이 있어요!

  • 안녕하세요. 장인아 치과위생사입니다.

    반점치로 보이며 치료를 꼭 하지 않아도 괜찮을것 같습니다.

    도움이 되기를 바랍니다. 건강하세요.