아하
  • 토픽

  • 스파링

  • 잉크

  • 미션


그레이

그레이

좌측 어깨부터 팔이 통증이 심합니다

성별

여성

나이대

40

기저질환

없음

복용중인 약

말초신경통약


목디가 있어서 신경차단술 3차례

주사 치료도 여러번 받았습니다

방사통으로 양손저림 있구요

손근력은 약합니다

글씨 쓸때 손에 쥐가 오기도 합니다

심할때는 팔통증도 심했습니다

두어달 전부터 왼쪽 팔에 통증이 생겼는데

어깨로도 통증이 퍼지면서

현재는 옷을 갈아 입을때마다 통증이 너무 심해졌어요


어떤 치료를 받아야 할지 알수가 없어서

답답한 마음에 도움 요청해 봅니다









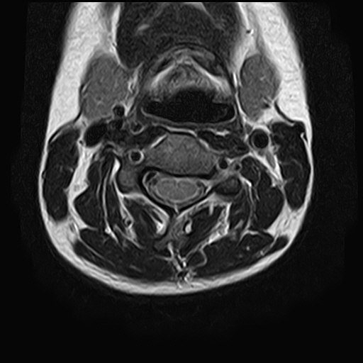
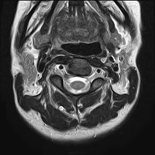
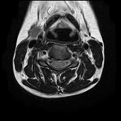
  • 1번 째 사진
  • 2번 째 사진
  • 3번 째 사진
  • 4번 째 사진
  • 5번 째 사진

1개의 답변이 있어요!

  • 옥영빈 의사

    옥영빈 의사

    홍성의료원

    디스크가 있다면 척추에 가해지는 부담을 최대한 줄이는 것으로 증상을 많이 호전시킬 수 있습니다. 우선은 식이 요법을 통해서 체중을 감량하면 척추에 가해지는 부담이 많이 줄어들게 됩니다. 두 번째로 코어 근육을 강화시킬 수 있는 운동을 하셔야 하는데, 대표적으로 필라테스와 피트니스 등이 있습니다. 여의치 않을 경우 집에서 간단하게 할 수 있는 플랭크 운동이 많은 도움이 되겠습니다. 이러한 방법을 통해서 최대한 근본적인 원인 교정을 하여야 척추 부위의 통증에서 자유로워질 수 있습니다. 물론 쉽지 않은 과정입니다. 시술이나 수술적 치료는 시행하여도 근본적인 해결이 되지 않으며 재발이 잦기 때문에 최대한 최후의 보루로 생각하시는 것이 좋겠습니다.