의료상담
치과 엑스레이 해석(?) 부탁드립니다.. 염증관련
성별
여성
나이대
31
기저질환
없음
복용중인 약
없음
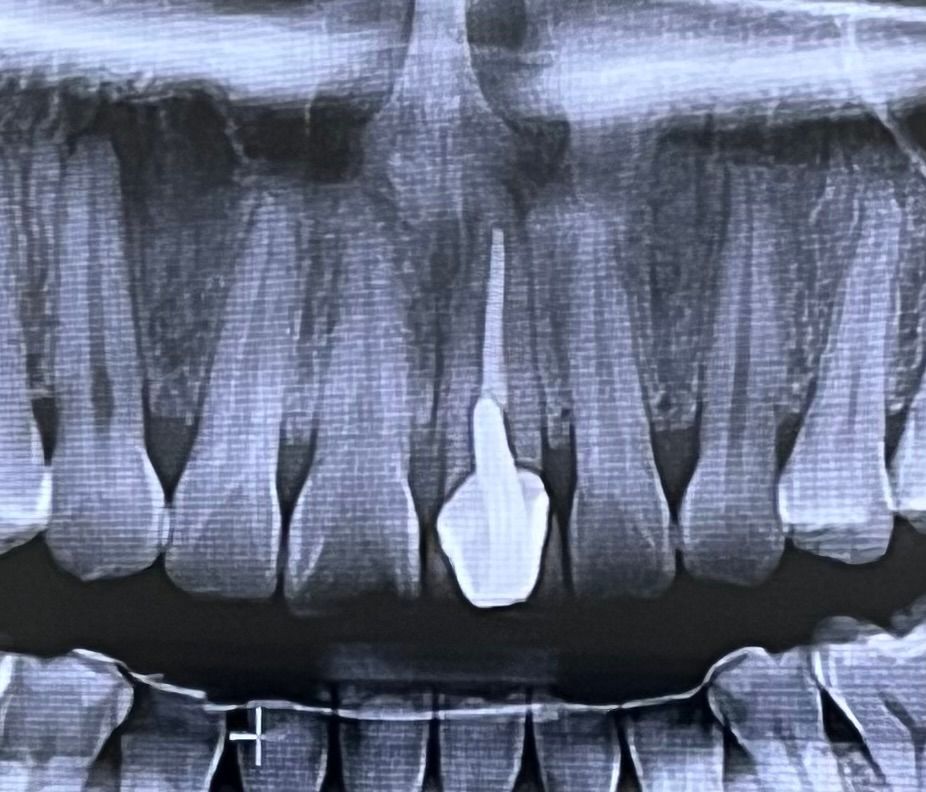
왼쪽 앞니는 어릴 때 크라운했습니다 . 현재 20년 넘게 유지중입니다 . 불편감도 없어요. 외적으로는 치아-잇몸라인이 검게 변한 것뿐입니다.
올해 초에 병원1에서 치아검진했을 때는
약간의 충치만 있고 지켜보잔 소견을 받았는데
최근에 사랑니 발치를 위해 방문한 병원2에서는 크라운한 치아 위쪽에 염증이 큰 범위로 있다하시네요 ㅠㅠ 발치에 대한 두려움으로 경황스러워
치료에 대한 방법은 키워드로 밖에 기억안나는데
발치하고 임플란트에 대한 얘기도 하셨어요 .
아직 젊은데 임플란트라니.. 크라운을 너무 오래 사용해서 그런걸까요..?
지나가시는 길에 엑스레이 한번 봐주세요..
선생님의 고견을 묻습니다..ㅠㅠ
55글자 더 채워주세요.
2개의 답변이 있어요!
안녕하세요. 아하(Aha) 의료분야 답변자 외과 전문의 배병제입니다.
치과 치료에 대한 문의로 생각됩니다. 해당 질문은 의료 카테고리보다는 치과 카테고리에 작성하시는 것이 더욱 도움이 되실거라 생각합니다. 그러니 다시한번 작성해보시기를 권해드립니다.
저의 답변이 도움이 되셨길 바랍니다.
관련 전공이 아니라 조심스럽지만
해당 사진은 치과 문의 계시판에 질문하시는 것이 적절할 듯 합니다
임플란트 권유받으셨다니 마음이 심란하실 듯 하네요 ㅠㅠ
좋은 결과 있으시길 기원드립니다

