아하
  • 토픽

  • 스파링

  • 잉크

  • 미션


의료상담

편안한돼지276

편안한돼지276

잇몸퇴축 및 잇몸상태관하여 질문합니다ㅠ



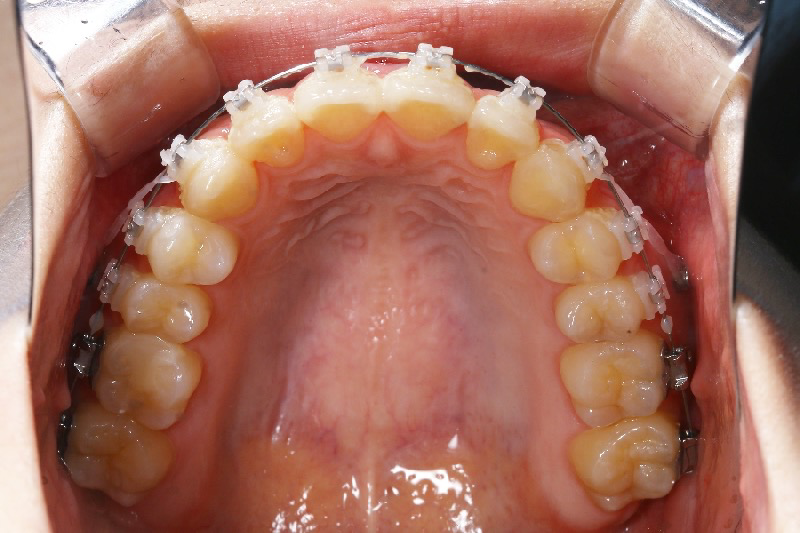
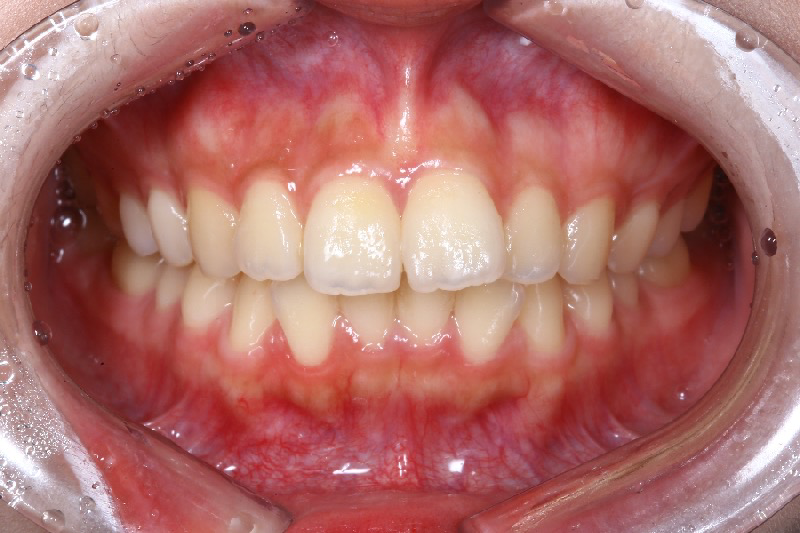
교정 5개월차 진행했고, 웃을때 교정전보다 잇몸이 많이 보인다고 느끼게되었습니다. 치과에 잇몸을 좀 올려줄 수 없냐고 질문했지만 교정하면서 잇몸이 내려올 수 없다는 답변과 잇몸을 올릴 수 없다고 답변을 하였습니다.ㅠ

교정때문에 너무 스트레스를 받아서

치아교정을 중단하게되었습니다.

중단이다보니...

유지장치도 안 하고 장치만 떼게되었습니다.

그런데 유튜브로 찾아보니 잇몸뼈 밖으로 무리하게 확장할 시, 잇몸이 내려갈 수 있다고 하더군요


잇몸뼈는 그대로인데 치아를 바깥으로 많이 핀 경우가

제 경우인것같아서 걱정이됩니다

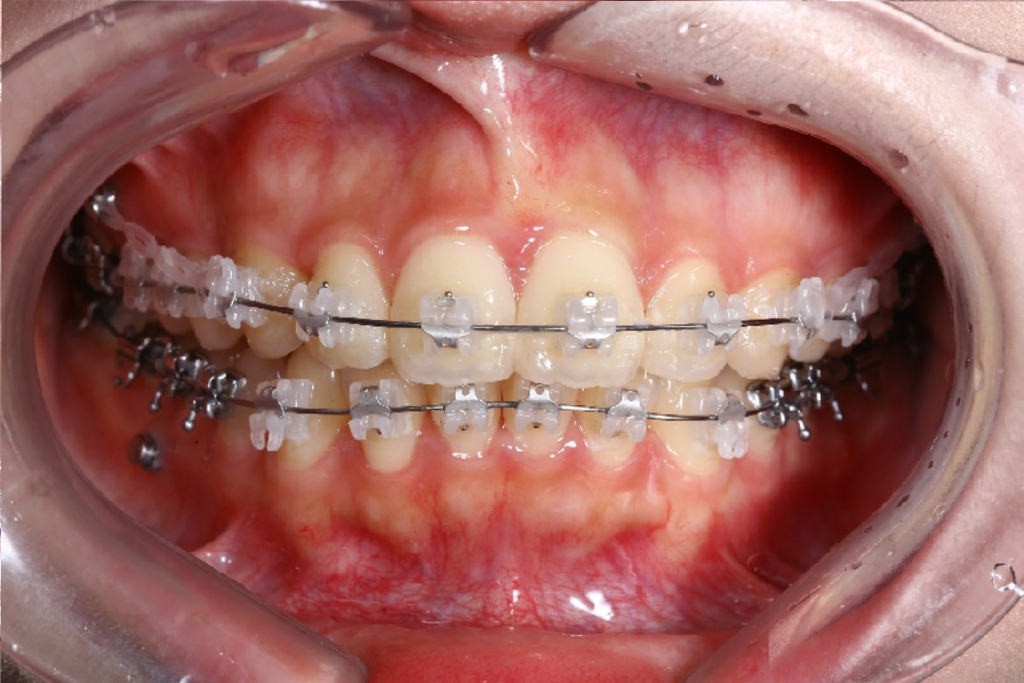
과정중에 앞니는 들어가고 옆에 송곳니등 이 치아뿌리가

튀어나와서 교정기를 떼면 치아 회귀본능때문에

움직이면서 전처럼 돌아가지않을까 생각하고 떼었는데요,

병원에서는 딱히 큰 말은 없었어서

잇몸이 많이 안 좋은 상태는 아닌지 걱정이 됩니다ㅠ..

잇몸에 저렇게 치아가 잘 보이는것도 맞는건지 걱정됩니다ㅠㅠ....

너무너무 무서워서 잠을 잘 못 자고 있는데

제 잇몸이 과연 괜찮은걸까요???

잇몸,치은퇴축이 아닌지 걱정됩니다...

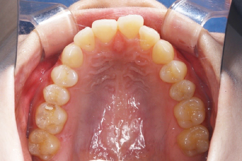
송곳니 부분들을 보면 전보다 잇몸에 덮여있는데

잇몸퇴축은 한번 시작되면 계속된다고(?) 들어서 너무 걱정됩니다...그리고 찬물을 마시면 왼쪽 치아 한쪽이 시린데 이것도 괜찮은건지 너무 걱정입니다....ㅠ 잇몸퇴축? 치은퇴축?치수괴사? 이런게 아닌지 너무 무섭고

잇몸뼈 밖으로 치아뿌리가 나와있는경우

이런일이 생긴다하는데 정말 너무너무 무섭구요...

지금상태에서 그대로두면 치아가 죽을 수도 있나요?!ㅠㅠ

치과에서는 관둬도된다해서 관둔건데ㅠㅠㅠㅠ

무서워요ㅠㅠㅠ

ㅠㅠㅠㅠ과연 괜찮은걸까요?

그리고 송곳니 부분 잇몸뿌리? 가 유독 불룩 나왔는데ㅠ

이건 치아뿌리인가요 아니면 치조골인가요????





  • 1번 째 사진
  • 2번 째 사진
  • 3번 째 사진
  • 4번 째 사진

2개의 답변이 있어요!

  • 김철진 치과의사

    김철진 치과의사

    가까운우리치과

    안녕하세요. 김철진 치과의사입니다.

    사진상으로 보면 크게 잇몸이 문제가 있어 보이진 않습니다. 걱정하지 않으셔도 될것같습니다.

  • 안녕하세요. 김지훈 치과의사입니다.

    사진상으로는 잇몸에 특별히 퇴축이 되었거나 튀어나오는 등의 이상이 보이지는 않습니다.