의료상담
55글자 더 채워주세요.
4개의 답변이 있어요!
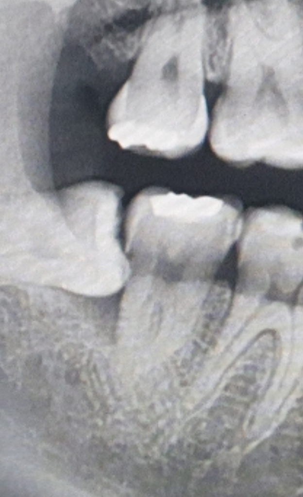
안녕하세요. 정진석 치과의사입니다.
어금니에 금이 간 부위의 범위에 따라 다를 수 있습니다. 금이 머리 부분에 국한되어 나타난 경우라면 단순히 신경치료 이후 크라운을 할 수 있습니다. 다만 머리 부분이 아니라 뿌리까지 금이 내려간 경우라면 치료가 불가능하며 발치 이후 임플란트 등을 하셔야 합니다.
아무쪼록 저의 답변이 문제 해결에 작게 나마 도움이 될 수 있기를 기원드립니다. 항상 건강하고, 행복하세요^^
정진석 치과의사 드림
안녕하세요. 김철진 치과의사입니다.
치아에 금이간건 증상으로 알수 잇지만, 사진상으로만 봐도 사랑니 앞니가 많이 썩어 보입니다 .신경치료를 하셔야될것같습니다.
안녕하세요. 김지훈 치과의사입니다.
해당사진으로는 판별하기 힘듭니다. 금이 가 있는 경우 신경치료 및 크라운치료가 필요하며 예후 불량시 발치의 가능성도 있습니다
안녕하세요. 장인아 치과위생사입니다.
금이가면 파절 가능성이 높기 때문에 크라운으로 씌워 보호 해줘야 합니다. 발치부위가 치유된후 치료를 하면 좋을것 같습니다.
도움이 되기를 바랍니다. 건강하세요.

